Artículo casos clínicos
Catéter peritoneal tunelizado para el manejo de ascitis refractaria en paciente con síndrome nefrótico
Tunneled peritoneal catheter for the management of refractory ascites in a patient with nephrotic
1Hospital Nacional Daniel Alcides Carrión, Callao, Perú
2Universidad Nacional Mayor de San Marcos, Lima, Perú
3Universidad Peruana Cayetano Heredia, Lima, Perú
Resumen
Introducción:
la ascitis refractaria puede ser una complicación frecuente en el síndrome nefrótico (SN), existen casos reportados del uso de un catéter tunelizado de diálisis peritoneal en pacientes con cirrosis o neoplasias abdominales. Se presenta el caso de un paciente con SN en quién se utilizó un catéter para diálisis peritoneal (DP) para manejo de la ascitis refractaria.
Objetivo:
mostrar que el catéter peritoneal puede ser considerado como una alternativa para el manejo de la ascitis refractaria en pacientes con síndrome nefrótico.
Presentación del caso:
paciente varón de 19 años, sin antecedentes patológicos, cursó con edema progresivo y alteración de la función renal. Se evidenció síndrome nefrótico con anasarca y evolucionó con empeoramiento de la función renal ingresando a hemodiálisis de soporte. Se realizó biopsia renal: podocitopatía, glomerulopatía colapsante. Se inició tratamiento con corticoterapia, mejorando la función renal hasta suspender la hemodiálisis, pero presentó ascitis refractaria al tratamiento médico, por lo que se realizó paracentesis evacuatoria en reiteradas ocasiones. Se decidió colocación de catéter peritoneal tunelizado para el manejo de la ascitis refractaria. La ascitis fue disminuyendo progresivamente hasta el retiro del catéter peritoneal.
Discusión y conclusión:
el uso de catéter tunelizado de diálisis peritoneal es una opción de manejo efectiva en casos de síndrome nefrótico con ascitis refractaria.
Palabras clave: diálisis peritoneal; catéter de permanencia; síndrome nefrótico; ascitis; paracentesis; eficacia del tratamiento.
Abstract
Introduction:
Refractory ascites can be a frequent complication in nephrotic syndrome (NS), there are reported cases of the use of a tunneled peritoneal dialysis catheter in patients with cirrhosis or abdominal neoplasms. The case of a patient with NS is presented in whom used a peritoneal dialysis (PD) catheter to manage refractory ascites.
Purpose:
To show that the peritoneal catheter can be considered as an alternative for the management of refractory ascites in patients with nephrotic syndrome.
Presentation of the case:
A 19-year-old male patient, with no pathological history, presented progressive edema and impaired renal function. Nephrotic syndrome with anasarca was evidenced, and it evolved with worsening renal function, entering supportive hemodialysis. Renal biopsy was performed: podocytopathy, collapsing glomerulopathy. Corticosteroid treatment was started, improving renal function until hemodialysis was discontinued, but he presented ascites refractory to medical treatment, for which evacuatory paracentesis was performed repeatedly. It was decided to place a tunneled peritoneal catheter for the management of refractory ascites. Ascites gradually decreased until the peritoneal catheter was removed.
Discussion and conclusion:
The use of a tunneled peritoneal dialysis catheter is an effective management option in cases of nephrotic syndrome with refractory ascites.
Keywords: Peritoneal dialysis; Catheter indwelling; Nephrotic syndrome; Ascites; Paracentesis; Treatment efficacy.
Introducción
El síndrome nefrótico (SN) forma parte de las manifestaciones clínicas de algunas enfermedades glomerulares, definido por presencia de proteinuria ≥ 3.5 g/24horas, que además puede cursar con edema generalizado o anasarca, hiperlipidemia, hipoalbuminemia e hipercoagulabilidad (1,2).
Los pacientes con SN y anasarca tienen la ascitis como signo más frecuente (3), a pesar de que esta generalmente está relacionada más con la cirrosis hepática. El abordaje diagnóstico se basa principalmente en el estudio biológico de la ascitis, especialmente la concentración de proteínas y el gradiente de albúmina entre el suero y la ascitis. Se describe al SN como causa no cirrótica de ascitis, con una gradiente de albúmina sérica (GASA) ≤ 1.1g/L (4).
Se define ascitis refractaria como la persistencia clínica de fluido intraperitoneal o cuya recurrencia temprana (después de una paracentesis de gran volumen) no se puede prevenir a pesar del tratamiento médico con restricción de sodio y dosis máxima de diuréticos (furosemida 160 mg/día y espironolactona 400 mg/día), siendo estos limitados por sus efectos adversos (insuficiencia renal, hiponatremia, hipopotasemia o hiperpotasemia) (5).
Se han reportado casos de manejo con catéter peritoneal tunelizado en paciente con ascitis refractaria de etiología no nefrótica, como en Knight J et al (6), quienes describieron a 152 pacientes que se sometieron a la colocación de un catéter peritoneal tunelizado para el tratamiento de la ascitis refractaria, de etiología maligna (cáncer de ovario, páncreas y colorrectal) o no maligna (insuficiencia cardiaca con ascitis). Macken L. (7), en el Reino Unido, realizó una revisión de 18 estudios en paciente con ascitis refractaria en enfermedad hepática terminal, donde el uso del catéter tunelizado de DP evitó la necesidad de paracentesis evacuatorias a repetición.
Presentamos el caso de un paciente con ascitis refractaria por SN, en el que se colocó un catéter peritoneal tunelizado para manejo y que presentó buenos resultados.
Presentación del caso
Paciente varón de 19 años, natural y procedente de Callao, Perú, sin antecedentes patológicos, con tiempo de enfermedad de 2 meses, caracterizado por edema progresivo hasta hacerse generalizado. Ingresa por emergencia con dificultad respiratoria y disminución del volumen urinario. Al momento del ingreso se evidencia: paciente en mal estado general, mal estado de nutrición (adelgazado), en anasarca (edema generalizado hasta genitales,). PA 110/60 mmHg, FC 98xmin, FR 24xmin. Edema 3+ en miembros superiores e inferiores; pulmones: murmullo vesicular ausente en base izquierda; abdomen: distendido, con leve dolor a la palpación profunda y signo de la oleada positivo. Resto de examen no contributorio.
En los exámenes de laboratorio de ingreso (tabla 1), se encontró azoemia (creatinina 2.8mg/dl, urea 121mg/dl), hipoalbuminemia severa (albúmina 1,2 gr/dl), hiponatremia moderada, dislipidemia mixta, orina completa: 24-28 leucocitos por campo, 3.5 hematíes por campo, glucosa 2+, proteínas 3+, proteinuria corregida 9.3 gr/24 horas. Los exámenes para descartar causas secundarias de compromiso glomerular fueron negativos (tabla 2). Radiografía de tórax: derrame pleural izquierdo y atelectasia laminar. Ecografía renal (figura 1): riñones de tamaño normal con buena diferenciación de la corteza.
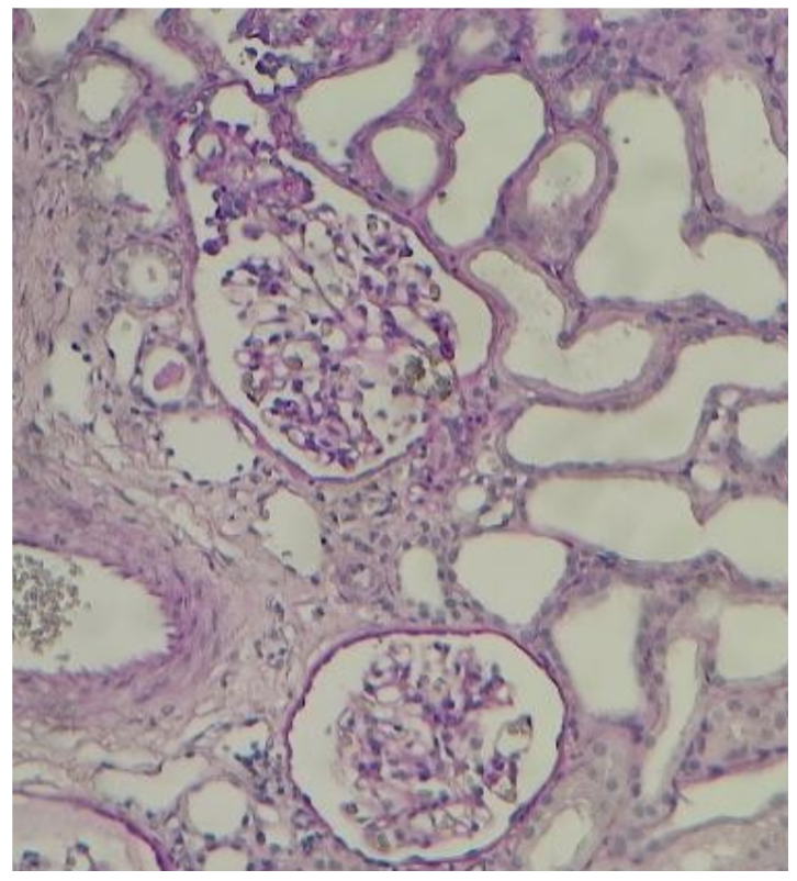
El paciente cursa con empeoramiento de la función renal y ausencia de respuesta al manejo diurético, por lo que ingresa a hemodiálisis de soporte. Se realizó toracocentesis evacuatoria de 900 ml, con líquido transparente característico de trasudado; también paracentesis diagnóstica y evacuatoria de 2000 ml, de líquido claro con característica de trasudado y GASA 0.8, que indica como causa probable de la ascitis al SN. Se realizó biopsia renal (figura 2): podocitopatía, glomerulopatía colapsante. Se inicia tratamiento con corticoterapia, evidenciándose mejoría de la función renal, por lo que se suspende hemodiálisis. Paciente es dado de alta para seguimiento ambulatorio, pero con persistencia de ascitis.
Después de 4 semanas de iniciada la corticoterapia, mantiene hipoalbuminemia, efusión pleural, ascitis, y se agrega intolerancia oral. Se realiza paracentesis evacuatoria, que fue necesario repetir en varias ocasiones. Se decide colocación de catéter peritoneal tunelizado (técnica de minilaparotomía realizada por médicos nefrólogos) para el manejo de la ascitis refractaria, realizándose drenaje de líquido ascítico interdiario mediante dicho catéter. La ascitis fue disminuyendo progresivamente hasta retirarse el catéter peritoneal a las 4 semanas de haber sido colocado. Por persistencia de hipoalbuminemia y proteinuria en rango nefrótico, se decide iniciar ciclofosfamida en bolos mensuales (1gr/m2sc).
Luego de haber recibido 6 bolos mensuales de ciclofosfamida, presenta función renal normal, albúmina sérica normal, aunque la proteinuria está en 1.2gr/24 horas.
Análisis
Tabla 1 Exámenes generales

Fuente: elaboración propia.
Tabla 2 Exámenes complementarios

Fuente: elaboración propia.
Discusión
La ascitis refractaria puede ocurrir como una complicación de patologías malignas y no malignas, incluido el síndrome nefrótico, y se puede acompañar de síntomas como dolor abdominal, náuseas, anorexia, disnea y fatiga, lo que afecta la calidad de vida del paciente (8).
La paracentesis proporciona alivio temporal de los síntomas en un 90 % de los pacientes (9), sin embargo, este procedimiento no altera la etiopatogenia para el continuo desarrollo de la ascitis (10); se han descrito, además, complicaciones debido a punciones repetidas y un riesgo de peritonitis secundaria, perforación intestinal, hipotensión y hemorragia (11).
El uso del catéter peritoneal tunelizado como alternativa de manejo, en los casos de ascitis refractaria, es una técnica utilizada en su mayoría en pacientes con etiología cirrótica. Caldwell (12) realizó una búsqueda bibliográfica de estudios publicados en los últimos 15 años, que reportaron la colocación de un catéter peritoneal tunelizado en pacientes con ascitis crónica. En todos los estudios se informó mejoría de los síntomas, además, que los catéteres tunelizados evitaron la necesidad de 10 o más paracentesis que pueden predisponer a infecciones. En el presente caso, el paciente presentó mejoría de la tolerancia oral y se evitó el riesgo de infecciones por paracentesis recurrentes.
Lungren et al. (13) evaluaron el éxito y la seguridad de los catéteres de drenaje peritoneal tunelizados para el manejo de la ascitis refractaria sin que hayan encontrado evidencia de complicaciones relacionadas al procedimiento realizado por radiología intervencionista; a diferencia del caso descrito, la colocación del catéter peritoneal tunelizado fue mediante técnica de minilaparotomía, realizado por medios nefrólogos con igual éxito y sin complicaciones.
Conclusiones
El presente caso muestra que la colocación de un catéter peritoneal tunelizado es una alternativa de manejo eficaz y segura en pacientes con ascitis refractaria por síndrome nefrótico.
Referencias
Lewis DM, Tooke JE, Beaman M, Gamble J, Shore AC. Peripheral microvascular parameters in the nephrotic syndrome. Kidney Int. 1998 Oct;5441261-6. https://doi.org/10.1046/j.1523-1755.1998.00100.x
[ Links ]
Politano SA, Colbert GB, Hamiduzzaman N. Nephrotic Syndrome. Prim Care. 2020 Dec;474597-613. https://doi.org/10.1016/j.pop.2020.08.002
[ Links ]
Udwan K, Brideau G, Fila M, Edwards A, Vogt B, Doucet A. Oxidative stress and nuclear factor κB (NF-κB) Increase peritoneal filtration and contribute to ascites formation in nephrotic syndrome. J Biol Chem. 2016 May 20;2912111105-13. https://doi.org/10.1074/jbc.M116.724690
[ Links ]
Carrier P, Jacques J, Debette-Gratien M, Legros R, Sarabi M, Vidal E, et al. L'ascite non liée à la cirrhose: physiopathologie, diagnostic et étiologies. Rev Med Interne. 2014 Jun;356365-71. https://doi.org/10.1016/j.revmed.2013.12.001
[ Links ]
Wong F. Management of refractory ascites. Clin Mol Hepatol. 2023 Jan;29116-32. https://doi.org/10.3350/cmh.2022.0104
[ Links ]
Knight J, Thompson S, Fleming C, Bendel E, Neisen M, Neidert N, et al. Safety and effectiveness of palliative tunneled peritoneal drainage catheters in the management of refractory malignant and non-malignant ascites. Cardiovasc Intervent Radiol. 2018 May;415753-761. https://doi.org/10.1007/s00270-017-1872-1
[ Links ]
Macken L, Hashim A, Mason L, Verma S. Permanent indwelling peritoneal catheters for palliation of refractory ascites in end-stage liver disease: A systematic review. Liver Int. 2019 Sep;3991594-1607. https://doi.org/10.1111/liv.14162
[ Links ]
Plancarte R, Guillén MR, Guajardo J, Mayer F. Ascitis en los pacientes oncológicos: Fisiopatogenia y opciones de tratamiento. Rev Soc Esp Dolor. 2004 Abr;113156-162. https://scielo.isciii.es/scielo.php?script=sci_arttext&pid=S1134-80462004000300006
[ Links ]
Eskander RN, Tewari KS. Emerging treatment options for management of malignant ascites in patients with ovarian cancer. Int J Womens Health. 2012;395-404. https://doi.org/10.2147/IJWH.S29467
[ Links ]
Román R. Ascitis. Acta méd Peruana. 2007 Ene;24134-39. https://pesquisa.bvsalud.org/gim/resource/fr/lil-692273
[ Links ]
De Gottardi A, Thévenot T, Spahr L, Morard I, Bresson-Hadni S, Torres F, et al. Risk of complications after abdominal paracentesis in cirrhotic patients: a prospective study. Clin Gastroenterol Hepatol. 2009 Aug;78906-9. https://doi.org/10.1016/j.cgh.2009.05.004
[ Links ]
Caldwell J, Edriss H, Nugent K. Chronic peritoneal indwelling catheters for the management of malignant and nonmalignant ascites. Proc (Bayl Univ Med Cent). 2018 Jun 1;313297-302. https://doi.org/10.1080/08998280.2018.1461525
[ Links ]
Lungren M, Kim C, Stewart J, Smith T, Miller M. Tunneled peritoneal drainage catheter placement for refractory ascites: single-center experience in 188 patients. J Vasc Interv Radiol. 2013 Sep;2491303-8. https://doi.org/10.1016/j.jvir.2013.05.042
[ Links ]