Introduction
Leprosy, or Hansen's disease, is a granulomatous bacterial disease caused by the Mycobacterium leprae (M. leprae) bacillus, which primarily affects the skin and peripheral nerves. However, depending on the host's immunological status, in some cases it may affect the upper airway mucosa, eyes, bones and testicles 1. There are currently approximately 4,000,000 active cases of leprosy and individuals with sequelae 2. Most of the cases are reported in Brazil, India, Indonesia, Nepal, Myanmar, Madagascar and the Republic of the Congo 2. The prevalence in many countries is close to 1/10,000 cases. In 2016, a total of 214,783 new cases were reported around the world 2.
The different clinical forms of leprosy are related to the type of immune response to the infection. Likewise, after beginning anti-leprosy treatment various immunological reactions may occur. There are three types of reactions that affect 30-50% of patients: type 1 reactions (reversal reactions), type 2 reactions (erythema nodosum leprosum) 3, and type 3 reactions, "Lucio's phenomenon," which are relatively rare and only occur in non-nodular lepromatous leprosy, also known as "pretty leprosy" 1. The three reactions may interrupt the course of leprosy at the beginning or after completing treatment (4). Erythema nodosum leprosum (ENL) is characterized by erythematous, evanescent, soft nodules mainly on the face, limbs and legs 5.
Below we describe the clinical case of a patient with a type 2 reversal reaction in the course of dimorphic leprosy, its diagnosis and treatment.
Case report
A 31-year-old nurse's aide from the urban area of Cali, with a low socioeconomic status, was seen by the outpatient dermatology service due to a four-month history of well-defined erythematous, violaceous plaques, some with hypopigmented centers, on the skin of her buttocks and lower extremities, compatible with dimorphic leprous lesions. One month after beginning anti-leprosy treatment with rifampicin, clofazimine and dapsone, she consulted again due to an increased size and number of skin lesions coupled with predominantly nocturnal arthralgia, fever and rhinorrhea. Her admission physical exam showed a BP of 130/55, HR 82 bpm, RR 17 breaths per minute, 96% O2 saturation, T 38.3°C, weight: 65 kg, height: 165 cm, and BMI: 23.88 kg/m2, with multiple painful, non-itchy, nodular subcutaneous lesions approximately 1 cm in diameter involving the upper and lower limbs, trunk and face (Figures 1a, 1b, 1c). Her laboratory tests showed moderate normocytic, normochromic anemia; mild lymphopenia; and elevated transaminase, gamma glutamyl transferase and alkaline phosphatase levels (Table 1).

Figure 1A, 1B, 1C Multiple nodular, subcutaneous, painful, non-itchy lesions, approximately 1 cm in diameter, involving the upper and lower limbs, trunk and face.
Table 1 Laboratory tests.
| Test | Ranges | Result |
|---|---|---|
| Leukocytes (10A3) | 5-10 | 4,200 |
| Neutrophils (#) | 2.8-7 | 3,100 |
| Lymphocytes (#) | 0.9-4.9 | 890 |
| Eosinophils (#) | 0-0.5 | 0.2 |
| Hemoglobin (g/dl) | 12-15 | 8.5 |
| Hematocrit (%) | 36-45 | 25 |
| Mean corpuscular volume (fL) | 82-98 | 86.3 |
| Platelets (10A3) | 150-450 | 330,000 |
| CRP (mg/dL) | 0-5 | 25 |
| ESR (mL/H) | 2-3 | 2.7 |
| AST (U/L) | 8-48 | 140 |
| ALT (U/L) | 7-55 | 285 |
| GGT (U/L) | 5-95 | 152 |
| Alkaline phosphatase (U/L) | 35-105 | 505 |
| Creatinine (mg/dL) | 0.7-1.27 | 0.6 |
| BUN (mg/dl) | 8-22 | 6.0 |
| Sodium (mmol/L) | 136-145 | 138 |
| Potassium (mmol/L) | 3.6-5.1 | 4.91 |
| Chloride (mmol/L) | 98-107 | 101 |
| HIV | - | Negative |
| Hepatitis B | - | Negative |
| Hepatitis C | - | Negative |
| Non-treponemal test (RPR) | - | Nonreactive |
| Peripheral blood smear | Red blood cells: slight hypochromia. White blood cells: reduced number and normal morphology. Platelets: normal. | |
| Reticulocytes | - | 1% |
| Direct Coombs | - | Negative |
| ANA | - | Negative |
| ENA | - | Negative |
| Blood cultures | - | Negative |
| Source: Authors. |
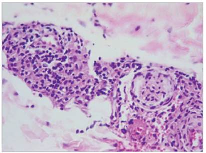
She was seen by general medicine on admission, with an initial acute febrile syndrome approach. Tests were ordered for dengue, Leptospira, hepatotropic viruses and HIV, and treatment was begun with antipyretics and intravenous fluid hydration. On her second hospital day, the patient continued to have a fever and her skin lesions worsened, with negative laboratory results. An internal medicine consult was requested, which, based on the dermatological findings established a differential diagnosis of infectious erythema nodosum, autoimmune erythema nodosum, type 1 reversal reaction in leprosy, sarcoidosis or cutaneous lymphoma. Due to the elevated phosphatase and transaminases, she was thought to have drug-induced liver injury (DILI) and cholestasis. An autoimmune profile and blood cultures were ordered, which were negative (Table 1). It was proposed that anti-leprosy treatment be discontinued, and a dermatology consult was requested to take a skin biopsy. On the fifth hospital day, dermatology began treatment with dexamethasone 8 mg every day and thalidomide 100 mg every 12 hours for seven days followed by 100 mg every night for one month. A new biopsy was taken from the left buttock which confirmed a chronic granulomatous reaction with a perivascular and periadnexal pattern with cutaneous nerve infiltration consistent with Hansen's disease (Figure 2).

Figure 2 Skin biopsy: H&E staining, 10x. Granulomatous inflammation with a perivascular and periadnexal pattern (arrowhead).
After 48 hours of treatment, the patient showed progressive clinical improvement with skin lesion resolution and normalized laboratory tests. Due to the skin lesion characteristics, her clinical improvement after treatment and skin biopsy findings, she was considered to have had erythema nodosum leprosum or type 2 reversal reaction.
Given the patient's clinical and paraclinical stability, she was discharged from the hospital on the eighth day with triple paucibacillary treatment along with dexamethasone and thalidomide, and a follow up appointment in one month.
She was seen by dermatology in the outpatient department four weeks after discharge, at which time she was free of skin lesions and had normal liver function tests.
Discussion
Leprosy is an infectious disease caused by Mycobacterium leprae. It has not yet been eradicated in Colombia and is still prevalent in this country 6. It is part of the differential diagnosis of chronic granulomatous diseases, and characteristically affects the skin and peripheral nerves. Leprosy reactions occur after beginning treatment and are a clinical challenge for medical staff 1,2. Unawareness of these reactions delays treatment and may cause problems in several organs secondary to an immune-mediated response in the short term, and permanent nerve damage with disability and deformity in the long term 2.
We presented the case of a young patient with a history of dimorphous leprosy who was receiving anti-leprosy treatment and suffered a type 2 reversal reaction or erythema nodosum leprosum (ENL).
The predisposing risk factors for developing ENL include a high bacillary index, lepromatous leprosy, intense stress, hypersensitivity states, hormonal changes, coexisting infections and treatment with broad-spectrum antibiotics like ofloxacin, rifampicin and macrolides 7. Breastfeeding, pregnancy and vaccination have been linked as precipitating factors 8,9. In this case, the patient had two risk factors, low socioeconomic status and dimorphous leprosy, which made her susceptible to the disease. In patients with type 2 reversal reactions, the clinical and laboratory manifestations are secondary to the onset of type III hypersensitivity mediated by Th2 cells 6. Erythema nodosum leprosum is commonly found before or after completing leprosy treatment 5. The typical skin lesions appear as recurrent nodules or evanescent, erythematous and painful plaques on the face or extensor surfaces of the limbs 10. The ENL lesions may also be hemorrhagic, pustular and ulcerated 10.
The diagnostic suspicion of ENL is mainly based on the description of the skin lesions. The criteria by Naafts et al. 11 have been suggested for this, which propose the following major criterion: a sudden rash of papules, nodules or tender (reddened) plaques which may ulcerate, together with the following minor criteria: 1) moderate fever, 2) nerve thickening and hypersensitivity, 3) dysesthesia and paresis, 4) arthritis, 5) lymphadenitis, 6) epididymo-orchitis, 7) iridocyclitis or episcleritis, 8) edema of the limbs or face, and 9) positive Ryrie and Ellis tests. In the case we presented, the patient had the major criterion plus two minor criteria.
The diagnosis was confirmed with a histopathological study that showed a significant chronic granulomatous reaction with a perivascular and periadnexal pattern with skin nerve infiltration, consistent with Hansen's disease. In this regard, the microscopic granulomatous pattern of intense perivascular neutrophilic infiltration in the dermis and sub-dermis is distinctive of ENL 13. Other useful findings are the presence of leukocytoclasia, dermal edema, neutrophilic panniculitis, fibrin in the vessel walls, granulomas and folliculotropism 13. Furthermore, fine-needle aspiration smears can be obtained from the enlarged lymph nodes and stained with Papanicolaou, May-Grunwald-Giemsa (MGG) and modified Ziehl-Neelsen (ZN) stains, with evidence of foamy macrophages interspersed with reactive lymphoid cells and abundant neutrophils. The modified ZN-stained smears show foamy histiocytes that harbor leprosy bacilli 14. Some biomarkers have been identified that can complement the diagnosis, such as pentraxin-3 (PTX-3), glycoprotein acid (GPA), CD-64, complement C1q, interleukin-6 (IL-6), interleukin-7 (IL-7), platelet-derived growth factor (PDGF), and anti-LID-1, CCL2, CCL3, CCL5 and CCL11 antibodies; however, the latter are not available at most centers in our country 15.
The differential diagnosis in this case includes the possibility of other granulomatous diseases caused by mycobacteria; erythema nodosum from other etiologies (55%); streptococcal pharyngitis (28-48%); sarcoidosis (11-25%); Mycoplasma, Chlamydia, Yersinia, Histoplasma, and Coccidioides infections; cutaneous lymphoma and Sweet syndrome 16. The process of ruling out these diagnoses should not delay prompt treatment of leprosy reactions, and clinical expertise as well as a complete medical history should prevail to avoid delays in managing these patients.
The goal of treatment is to control inflammation, reduce pain and prevent further episodes. Thus, aspirin has been the anti-inflammatory medication of choice. However, other drugs have been added, such as nonsteroidal anti-inflammatory drugs, colchicine, oral zinc, pentoxifylline and chloroquine. Corticosteroids like high-dose prednisolone have been used for acute control as well as to alleviate pain and control the disease until gradual ENL remission 17. Furthermore, thalidomide has become an optimal alternative, providing a rapid anti-inflammatory effect due to its action on the tumor necrosis factor (TNF). There are other treatment options that may be considered, like clofazimine, azathioprine, methotrexate, cyclosporin A, tenidap, minocycline, apremilast and plasma exchange 16. In the case we presented, dexamethasone was started, together with thalidomide, which despite having been instated on the fifth day after admission proved to be a good treatment option, with an excellent result.
Conclusions
Type 2 reversal reactions secondary to leprosy treatment constitute a clinical challenge for medical staff. Unawareness of these reactions delays treatment and may cause multiple organ problems in the short term, secondary to an immune-mediated response, and permanent nerve damage in the long term, with disability and deformity. Physicians who are not dermatologists must be familiar with these kinds of reactions, which may be a common reason for emergency room consults in our country.










text in 


