Introducción
Desde el punto de vista anatómico, la Hemorragia Alveolar Difusa (HAD) se define como la presencia de sangre en los espacios alveolares sin la identificación de alteraciones endobronquiales asociada la mayoría de las veces con inflamación de la microvasculatura pulmonar y destrucción de la barrera alveolo-capilar demostrada por histopatología con presencia de fibrina intraalveolar, glóbulos rojos y la presencia de macrófagos cargados de hemosiderina, que puede tardar de 2 a 3 días en acumularse (capilaritis); en ausencia de los fenómenos previamente descritos, se denomina hemorragia alveolar "blanda", cuyas causas incluyen coagulopatías heredadas o adquiridas (terapia anticoagulante, inclusive), presión ventricular izquierda elevada (edema pulmonar agudo) o daño alveolar difuso sin capilaritis1,2así como defectos cualitativos y cuantitativos plaquetarios que abarcan la trombocitopenia inmune primaria como causa exótica de la misma1. Ante esta asociación, siempre se deben descartar causas estructurales, como la telangiectasia hemorrágica hereditaria (síndrome de Rendu-Weber-Osler) o la concurrencia de hemangiomas congénitos con trombocitopenia por secuestro plaquetario (síndrome de Kasabach-Merritt)2.
Por otro lado, se trata de un diagnóstico clínico caracterizado por insuficiencia respiratoria aguda en el contexto de hemoptisis (en un tercio de casos) y opacidades alveolares difusas en imagen de tórax; la presencia de anemia (descenso agudo de la hemoglobina de al menos 1,5 g/dL en ausencia de una fuente evidente de hemorragia) es variable y no es indispensable para considerar la entidad2,3. Estas características, junto con un líquido progresivamente más hemático en el Lavado Broncoalveolar (LBA) secuencial y la presencia de más del 20 % de macrófagos cargados de hemosiderina en el análisis citológico del mismo son componentes clave para su abordaje oportuno; este último es quizás el criterio de LBA que mejor se correlaciona con la puntuación tradicional de Golde, un método semicuantitativo para evaluar el contenido de hemosiderina de los macrófagos alveolares, y se sigue utilizando como criterio diagnóstico de la hemorragia alveolar difusa en la actualidad3. En general, se considera que el valor normal de hemosiderófagos en LBA se encuentra entre 0-5 %4.
La hemorragia originada en la circulación bronquial, los grandes vasos (con diámetro > 10 mm, como aorta y arterias pulmonares) o las anomalías pulmonares localizadas pueden simular una HAD, siendo un escenario especialmente crítico que conduce a la realización de una arteriografía diagnóstica y terapéutica o manejo quirúrgico emergente en el caso de un síndrome aórtico agudo con compromiso de aorta ascendente (Stanford A)5.
En general, la hemorragia alveolar tiene una alta tasa de mortalidad, por lo que requiere un tratamiento multidisciplinar oportuno y agresivo. El tratamiento de la HAD comprende tres objetivos principales2,5: (1) cuidados de apoyo que incluyen soporte hemodinámico, transfusional y asistencia ventilatoria, desde suplementos de oxígeno hasta ventilación mecánica con titulación de Presión Positiva al Final de la Espiración (PPFE); (2) tratamiento de la enfermedad subyacente, incluidos tratamientos inmunosupresores para controlar la actividad de la enfermedad (incluyendo agentes citostáticos como ciclofosfamida), plasmaféresis para eliminar los autoanticuerpos circulantes a modo de inmunocomplejos y (3) antivirales o antibióticos para las hemorragias pulmonares asociadas a infecciones como la leptospirosis.
La Trombocitopenia Inmunitaria Primaria (TIP) es un trastorno hemorrágico inmunomediado caracterizado por una disminución del recuento de plaquetas y un mayor riesgo de hemorragia. Múltiples anomalías inmunitarias humorales y celulares provocan una destrucción acelerada de las plaquetas y una producción medular disminuida de la línea megacariocítica. El diagnóstico implica la exclusión de otras causas de trombocitopenia6. La esplenomegalia y los síntomas constitucionales (fiebre, pérdida de peso o adenopatías) son inusuales y de estar presentes, deben investigarse más a fondo para excluir la presencia de otras enfermedades subyacentes. El informe de consenso internacional actualizado recomienda como evaluación básica varias pruebas adicionales, como el recuento de reticulocitos, los niveles cuantitativos de inmunoglobulinas, los grupos sanguíneos y el cribado serológico del VHC/VHB/VIH6,7.
Aunque la mayoría de los pacientes con TIP se presentan con algún síntoma hemorrágico leve o petequias tanto en mucosas como en zonas flexoras, las complicaciones hemorrágicas mayores son exóticas, con un riesgo global de sangrado durante el primer año de diagnóstico del 7,5 %7; sin embargo, una de las revisiones sistemáticas más recientes, publicada en el año 2015 que incluyó un total de 10 908 pacientes de 118 estudios, describió un riesgo de hasta 15 % de sangrado mayor en pacientes con TIP8; para la población adulta, específicamente mayor de 65 años, por lo general ocurre en mujeres, con una tasa de cronicidad del 80 % y un riesgo estimado de episodios hemorrágicos mortales cercano al 5 % a lo largo de la vida6,8. Los tratamientos de primera línea en la TIP pueden inducir respuesta tan tempranas como a los dos días o tan tardías como a las tres semanas, pero una presentación grave y amenazante para la vida (sangrado mayor por cinética en la caída de la hemoglobina, requerimiento transfusional o localización anatómica) no permite márgenes de espera tan amplios y obliga a buscar alternativas terapéuticas diferentes más temprano; aunque la mayoría de los pacientes suelen responder de manera transitoria a las medidas de primera línea (esteroides, inmunoglobulina humana)8, se deben considerar alternativas de segunda línea, como los agonistas del receptor de trombopoyetina (eltrombopag, romiplostim) especialmente durante una complicación potencialmente mortal, o incluso la esplenectomía en escenarios más controlados9.
En caso de TIP refractaria, se debe considerar un diagnóstico erróneo, ampliando el estudio a otras enfermedades subyacentes (síndromes mielodisplásicos y trombocitopenias inmunes secundarias a enfermedades autoinmunes sistémicas, neoplasias malignas, inmunodeficiencia primaria o exposición a fármacos, representaron aproximadamente el 20 % de los diagnósticos erróneos en algunas series)9,10. Después de una búsqueda cuidadosa, existen otras intervenciones que podrían ser útiles, como el uso de agentes biológicos (por ejemplo, Rituximab) y la terapia combinada10. Las guías no son claras sobre cómo proceder después de la terapia de segunda línea ni cuando se considera una TIP refractaria11; se han probado múltiples esquemas de combinación con un rango variable de éxito: por ejemplo, el uso de ciclofosfamida, acompañado de prednisona, vincristina, rituximab y otros medicamentos, han demostrado respuestas hasta del 60 %12,13. Además, el historial médico, así como los hallazgos físicos y de laboratorio específicos deben evaluarse cuidadosamente, sobre todo cuando los pacientes tienen sospecha de enfermedades infecciosas concurrentes.
Existen pocos casos en la literatura que relacionen hemorragia alveolar como sangrado mayor en el curso de una TIP refractaria. El primer informe en la literatura fue publicado por Uchiyama et al.14 en Japón, en 2009, en un hombre de 73 años que respondió bien al manejo con esteroides en dosis de pulsos e inmunoglobulina humana. El objetivo de este manuscrito es presentar el caso de una mujer mayor de 65 años con diagnóstico previo de TIP con recuentos plaquetarios muy bajos (<10 000 plaq/ μL) quien durante un episodio de actividad de su enfermedad de base se presentó con una hemorragia alveolar blanda de rápida instauración, con respuesta clínica variable a la terapia inmunosupresora de primera y segunda línea.
Caso clínico
Mujer de 67 años, raza mestiza, ama de casa, con antecedentes personales de hipertensión arterial, hipotiroidismo primario, derivación gastroyeyunal en Y de Roux en 2014 (sin seguimiento desde entonces) y TIP desde hace 15 años sin tratamiento farmacológico hasta la fecha, quien consultó al servicio de consulta externa por cuadro de dos días de equimosis espontánea en cara lateral izquierda del dorso lingual y petequias en miembros inferiores, así como astenia, adinamia y escasa rinorrea hialina. A la revisión por sistemas, no se reportaron úlceras orales, alopecia, artralgias, fotosensibilidad ni fenómeno de Raynaud. No había iniciado medicación homeopática o alopática diferente al manejo de base con losartán 50 mg cada 12 horas vía oral y levotiroxina 50 mcg al día vía oral; no presentaba antecedentes personales de exposición a tóxicos. En ese momento, el personal sanitario direccionó al servicio de urgencias, tras evaluar un hemograma de la paciente que se había realizado el día anterior por su propia cuenta ante la aparición de los signos descritos, reportando un recuento plaquetario de 8 000 plaq/uL.
La exploración física reveló rash petequial limitado a miembros inferiores y equimosis en la lengua sin flictenas hemorrágicas en paladar duro, sin adenopatías periféricas, masas ni visceromegalias a la palpación abdominal. La paciente estaba normotensa, con saturación normal al aire ambiente. Los estudios paraclínicos de ingreso documentaron trombocitopenia grave (3 000 plaq/μL) y discreta elevación de reactantes de fase aguda (PCR 6,23 mg/dL), sin otras citopenias ni hallazgos anormales en el frotis de sangre periférica, con función renal estable, sin sedimento activo en el uroanálisis. El perfil de coagulación era normal y el panel para enfermedades infecciosas como Epstein-Barr, VIH y virus hepatotropos (hepatitis B, C) fue negativo (ver Tabla 1). Los niveles de vitamina B12 estaban en zona gris (entre 180 y 350 pg/mL); teniendo en cuenta su antecedente de cirugía bariátrica, se decidió iniciar suplementación con cianocobalamina vía subcutánea (1 mg/día por una semana).
Dado el recuento plaquetario en rango crítico y la interpretación de los hallazgos en la cavidad oral como púrpura húmeda, se iniciaron dosis altas de metilprednisolona durante tres días (250 mg/día vía intravenosa durante tres días) previa desparasitación con ivermectina, con posterior transfusión de una aféresis plaquetaria, tras lo cual se produjo una ligera mejoría del recuento plaquetario (12 000 plaq/μL). En paralelo, se realizó una ecografía abdominal que descartó hepato o esplenomegalia así como líquido libre en cavidad peritoneal. Además, se solicitaron marcadores de recambio celular (LDH, bilirrubina total, recuento de reticulocitos, haptoglobina) para descartar hemólisis activa de bajo grado, considerando los niveles de hemoglobina estables al ingreso, ante la suscitada sospecha de evolución hacia un síndrome de Evans, todos en rango de normalidad.
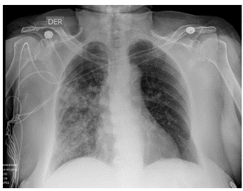
Al cuarto día de ingreso, tras ser trasladada de urgencias a sala de hospitalización, la paciente presentó hemoptisis espontánea durante la noche, con hipoxemia en reposo (SatO2 hasta 85 % con FiO2 0,21; al ingreso a urgencias, SatO2 94 % con FiO2 0,21) precisando suplementación de oxígeno a bajo flujo por cánula nasal, sin deterioro neurológico ni signos de dificultad respiratoria diferentes a ligera taquipnea (entre 30-35 respiraciones por minuto). Se documentó trombocitopenia grave (1000 plaq/ μL) y anemia moderada (hemoglobina 10,2 mg/dL). La gasometría arterial con una FiO2 del 32 % reportó: presión arterial de oxígeno (PaO2) de 61 mmHg, presión arterial de dióxido de carbono (PaCO2) de 28,6 mmHg y pH de 7,4. Paralelamente, se realizó una radiografía de tórax portátil con evidencia de opacidades heterogéneas bilaterales con aspecto de vidrio esmerilado predominantemente en el lóbulo medio e inferior derecho (Ver Figura 1). La paciente fue trasladada a unidad de cuidados especiales para vigilancia estrecha.

Fuente: elaborado por los autores.
Figura 1 Radiografía de tórax (proyección AP) que muestra opacidades alveolares heterogéneas principalmente en el lóbulo medio e inferior del pulmón derecho. En general, la característica típica en la radiografía simple durante una hemorragia alveolar difusa aguda es un patrón de "opacidades alveolares bilaterales difusas". A veces puede haber una ligera predilección por las zonas medias, preservando lóbulos apicales.
Al día siguiente, fue llevada a tomografía computarizada (TC) torácica que confirmó la presencia de opacidades alveolares difusas con patrón en vidrio deslustrado hacia el lóbulo medio e inferior del pulmón derecho (Ver Figura 2) que, a pesar de ser un hallazgo inespecífico, dado el contexto clínico y en ausencia de elementos sugestivos de infección activa (neumonía adquirida en la comunidad), expresión de autoinmunidad (se descartó hemólisis, no había compromiso cutáneo o renal) o alteraciones estructurales evidentes en vía aérea superior (sin epistaxis ni sangrado espontáneo en mucosa oral), se interpretó como un probable cuadro de hemorragia alveolar de distribución unilateral representando un escenario potencialmente fatal de sangrado mayor, por lo que se añadió inmunoglobulina venosa (IVIg 1g/kg/día IV durante dos días), seguida de dexametasona 40 mg/día IV durante 4 días. Igualmente, se solicitaron estudios microbiológicos y moleculares en esputo, todos negativos.
La paciente permaneció con trombocitopenia grave a pesar de recibir aféresis plaquetaria durante 3 días (con recuentos plaquetarios entre 2000-4000 plaq/μL) y se indicó soporte ventilatorio no invasivo con cánula nasal de alto flujo (CNAF) para alcanzar los objetivos de SaO2 y modular el trabajo respiratorio. Hematología perfiló para análogo de receptor de trombopoyetina (eltrombopag 75 mg/día), continuando dosis de mantenimiento con esteroide oral (prednisolona 1 mg/kg/día). Sin embargo, la trombocitopenia persistió refractaria a estas líneas de manejo (en este momento de 4 000 plaq/μL), por lo que se decidió iniciar una dosis única de ciclofosfamida (500 mg IV) con posterior inicio de azatioprina (50 mg BID PO). El aspirado de médula ósea y la biopsia informaron mielograma sin cambios displásicos, además de citometría de flujo con población heterogénea de precursores mieloides con maduración inadecuada, sin fenotipo patológico, con precursores linfoides B y T sin alteraciones relevantes.
Tabla 1 Parámetros de laboratorio al ingreso
| Hematología | Química sanguínea | Panel de enfermedades infecciosas | |||
|---|---|---|---|---|---|
| Leucocitos | 4 950 /uL (4 500 - 11 000) | BUN | 11,2 mg/dL (9-23) | ||
| Neutrófilos (PMN) | 4140 /uL (1 500 - 8 000) | Cr | 0,64 mg/dL (0,5-0,8) | EBV | Negativo |
| Linfocitos | 530 /uL (1 500 - 4 000) | Na | 144,35 mmol/L (135145) | VIH | Negativo 0,11 (0-99) |
| Hemoglobina | 12,59 g/dL (12-16) | K | 4 mmol/L (3,4-4,4) | HBV | Negativo < 0,10 (0-99) |
| Hematocrito | 38,0 % (38-48) | Cl | 110,32 mmol/L (99109) | HCV | Negativo 0,03 (0-79) |
| Plaquetas | 3 000 u/L (150 000450 000) | Vit B12 | 384,9 pg/mL (211911) | VDRL | No reactivo |
| Ferritina | 28,9 ng/mL (12-150) | ||||
| Perfil de coagulación | Uroanálisis | ||||
| Densidad | 1010 | ||||
| pH | 6,5 | ||||
| PT | 10,3 s (control 10,9) | Leucocitos | Apr 15 | ||
| APTT | 23,5 s (control 27,7) | Eritrocitos | Apr 25 | ||
| INR | 0,94 | Nitritos | Negativo | ||
| Proteínas | Negativo | ||||
| Glucosa | Negativo | ||||
Vit B12: cianocobalamina, EBV: virus de Epstein-Barr, HIV: virus de inmunodeficiencia humana, HBV: virus de Hepatitis B, HCV: virus de Hepatitis C, VDRL: Laboratorio de Investigación de Enfermedades Venéreas, PT: tiempo de protrombina, APTT: tiempo de tromboplastina parcial activada, INR: radio normalizado internacional
Fuente: elaborado por los autores.
Tabla 2 Parámetros de laboratorio
| Hematología | Química sanguínea | Serología/otros | |||
|---|---|---|---|---|---|
| Leucocitos | 17 770 /μL (4 500-11 000) | AST | 35,31 UI/L (7-34) | ANA | 1:80 patrón moteado |
| Neutrófilos (PMN) | 15 510 /μL (1 500-8 000) | ALT | 35,48 UI/L (10-49) | Anti-DNA | Negative (< 35 U/ mL) |
| Linfocitos | 1 000 /μL (1 500 - 4 000) | Bilirrubina total | 0,49 mg/dL (0,2-1,1) | Anti-SSa | 24,1 UI/mL (< 15) |
| Hemoglobina | 8,5 g/dL (12-16) | Bilirrubina indirecta | 0,35 mg/dL (0,2-1,2) | Anti-SSb | 3,0 UI/mL (< 15) |
| Hematocrito | 24,3 % (38-48) | LDH | 338 U/L (120-240) | Anti-SSm | 14,8 UI/mL (< 15) |
| Plaquetas | 19 000 u/L (150 000 -450 000) | Fibrinógeno | 254 mg/dL (170-420) | Anti-RPN | 6,3 UI/mL (< 15) |
| ANCA | Negative (< 1:20) | ||||
| BUN | 37,81 mg/dL (9-23) | RA factor | < 0,35 UI/mL (0-14) | ||
| Cr | 0,47 mg/dL (0,5-0,8) | C3 | 97,9 mg/dL (90-170) | ||
| Na | 147,91 mmol/L (135145) | C4 | 9,4 mg/dL (12-36) | ||
| K | 3,54 mmol/L (3,44,4) | Cardiolipina IgG, IgM | Dentro de límite normal | ||
| Cl | 109,5 mmol/L (99109) | Coombs directo | Positivo Ig++ | ||
| Perfil de coagulación | |||||
| PT | 10,4 s (control 10,9) | ||||
| APTT | 20,9 s (control 27,7) | ||||
| INR | 0.95 | ||||
AST = aspartato aminotransferasa; ALT = alanina transaminasa; LDH = deshidrogenasa láctica; DNA = Ácido desoxirribonucleico; ANA = anticuerpos antinucleares; Anti-SSa = anti-Ro; Anti-SSb = anti-La; Anti-SSm =anti-Smith, anticuerpos contra snRNP; Anti-RPN = anticuerpos contra la forma U1 de snRNP; RPN = ribonucleoproteína; snRNP: ribonucleoproteína nuclear pequeña; C3 = fracción C3 del complemento; C4 = fracción C4 del complemento; PT = tiempo de protrombina; APTT = tiempo de tromboplastina parcial activada; INR = índice internacional normalizado
Fuente: elaborado por los autores.
Al sexto día desde el ingreso el perfil de autoinmunidad se amplió (ver Tabla 2) con estudios negativos para anticuerpos antifosfolípidos y ANCA; ANA 1/80, anti-DNA y anti-SM negativos, pero anti-RO (SS-a) positivos a títulos altos en ausencia de otros elementos diagnósticos sugestivos de síndrome de Sjögren o anemia hemolítica autoinmune a pesar de Coombs directo positivo (fraccionado: IgG++) e hipocomplementemia global (C3, C4). Se realizó una fibrobroncoscopia sin evidencia de lesiones en vía aérea superior e inferior ni presencia de sangrado activo; así mismo, se realizó instilación en el árbol bronquial de 100 a 150 ml de suero fisiológico en alícuotas de 50 ml, con posterior aspiración de la solución salina en las vías aéreas distales antes de los 60 segundos; las alícuotas seriadas de fluido por LBA se hicieron más hemorrágicas a los 30 segundos. La citología del LBA mostró una cantidad sustancial de macrófagos cargados de hemosiderina (>20 %), evocando el diagnóstico de hemorragia alveolar. Para ese entonces, continuaba con soporte ventilatorio no invasivo dado por CNAF. Aunque la respuesta estaba siendo favorable (recuento plaquetario en 64 000 plaq/μL al día 6), el día 8 de hospitalización presentó deterioro clínico objetivo con un índice ROX (relación entre SaO2/FiO2 y frecuencia respiratoria) menor de 3,85 como predictor de falla ventilatoria inminente, por lo que requirió ventilación mecánica invasiva durante unas 72 horas, con buena tolerancia a la extubación temprana.
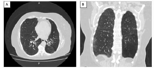
Como última opción, la paciente recibió una dosis de rituximab (1 g IV), consiguiendo estabilizar el recuento de plaquetas por encima de 50 000 plaq/uL a la tercera semana, dándose finalmente egreso al día 38 desde el ingreso; el plan ambulatorio fue repetir esta misma dosis cada 15 días por 2 dosis adicionales como terapia de mantenimiento (ver Figura 3). La TC torácica de seguimiento dos semanas posteriores a la extubación, antes del egreso hospitalario, informó de bandas pleuroparenquimatosas gruesas en relación con atelectasias que afectaban a ambos lóbulos inferiores y a la língula, sin derrame pleural, engrosamiento septal interlobulillar, opacidades reticulares de distribución peribroncovascular o subpleural ni bronquiectasias por tracción (ver Figura 4). Se resumen los medicamentos administrados durante la atención a la paciente, con sus respectivas dosis (ver Tabla 3). No hay registro del seguimiento por consulta externa de la paciente.

Fuente: elaborado por los autores.
Figura 2 A y B Cortes axiales de TC de tórax; C y D Cortes coronales de TC de tórax. Todas muestran opacidades alveolares difusas en vidrio esmerilado en el lóbulo medio e inferior del pulmón derecho; bronquiectasias en el lóbulo inferior de ambos pulmones y fibrosis en hemitórax derecho con bandas pleuroparenquimatosas en el lóbulo superior.

Fuente: elaborado por los autores.
Figura 3 Recuento de plaquetas del paciente desde el ingreso hasta su recuperación clínica y paraclínica.

Fuente: elaborado por los autores.
Figura 4 TC torácica de seguimiento A. vista axial. B. vista coronal. Sin infiltrados ni consolidaciones, sin derrame pleural; bandas pleuropa-renquimatosas gruesas en relación con la atelectasia que afectan a ambos lóbulos inferiores y a la língula. Los episodios repetidos pueden provocar neumonía organizativa, depósito de colágeno en las vías respiratorias pequeñas y fibrosis pulmonar.
Tabla 3 Medicamentos administrados durante la atención
| Medicamento | Dosis | Número de dosis |
|---|---|---|
| Metilprednisolona | 250 mg IV | 3 |
| IVIg | 1 g/Kg IV | 2 |
| Dexametasona | 40 mg IV | 4 |
| Eltrombopag | 75 mg VO | ** |
| Prednisolona | 50 mg VO | ** |
| Ciclofosfamida | 500 mg IV | 1 |
| Azatioprina | 50 mg VO | ** |
| Rituximab | 1g IV | 1 |
IvIG = Inmunoglobulina humana, IV= intravenoso, VO = vía oral, ** = terapia continua
Fuente: elaborado por los autores.
Discusión
Presentamos el primer caso de trombocitopenia inmune aislada, complicado con hemorragia alveolar difusa como manifestación de sangrado mayor del que se tiene registro en Colombia. De forma general, se considera al diagnóstico de TIP como un diagnóstico de exclusión en el que no hay evidencia de otras condiciones inmunes, infecciosas u oncológicas que expliquen el cuadro y, aunque se ha descrito la positividad de algunos marcadores inmunológicos de forma aislada en los pacientes con TIP15 como en el caso de nuestra paciente, no está recomendado hacer medición extendida de ellos de forma rutinaria en individuos sin sospecha de etiologías alternativas, pues no se han logrado demostrar diferencias pronósticas o en la respuesta terapéutica para aquellos con marcadores inmunológicos positivos (a títulos variables) versus negativos15,16.
Nuestra paciente fue sometida a aspirado y biopsia de médulaóseacomo estudiodeextensión, considerando diagnósticos diferenciales por la refractariedad al tratamiento. Parte de la literatura ha sugerido la implementación de este estudio en presentaciones atípicas de la enfermedad, como individuos mayores de 60 años, cuando se indique la esplenectomía como línea de tratamiento o en individuos con signos y síntomas de condiciones alternativas (citopenias adicionales, organomegalias)17 sin lograr un acuerdo general sobre indicaciones generales para todas las poblaciones con TIP; de igual forma, no se sugiere el estudio sistemático de búsqueda activa de sangrado espontáneo en el escenario de TIP refractaria (con estudios endoscópicos, por ejemplo) sin elementos de juicio clínico que orienten a un daño de órgano blanco16-18, como en nuestro caso.
Como se mencionó previamente, el riesgo de sangrado en la TIP es variable según la población estudiada, y parece verse aumentado en situaciones como trombocitopenia grave (≤5 000 plaq/mm3) en el momento del debut18. Nuestra paciente sostuvo una trombocitopenia grave durante cerca de una semana e ingresó con signos de sangrado plaquetario en mucosas y piel, pero su antecedente de más de una década sin ajustes en el tratamiento de primera línea sugiere un desencadenante no medible o la migración a otra condición inmunológica, máxime considerando la positividad de marcadores inmunológicos ya descritos, aún sin cumplir criterios clasificatorios mínimos para una entidad en particular. Por su parte, la HAD como manifestación de la TIP es rara y pobremente descrita. Aún en las revisiones más extensas y con mayor número de pacientes, el perfil de sangrado es generalmente diferenciado entre mayor, menor, intracraneal o extracraneal y no existe una clara caracterización de la distribución e incidencia de la HAD en este grupo de pacientes19. Así mismo, y para nuestro caso particular, no hay evidencia de enfermedad pulmonar estructural establecida previa al episodio de sangrado, como en los tres casos reportados por Nagaharu K, et al.20, en los que todos los pacientes tenían alguna condición pulmonar subyacente al momento del diagnóstico de la TIP con HAD (sarcoidosis, neumonía organizada criptogénica, enfisema pulmonar).
Son múltiples y heterogéneas las causas de HAD y aunque el mecanismo no está completamente dilucidado, la TIP es usualmente incluida en el grupo de las HAD blandas o no mediadas por capilaritis19,21, como se presume ocurrió en nuestra paciente. Otros desenlaces de las HAD blandas no necesariamente en el contexto de TIP incluyen la recuperación completa, la fibrosis pulmonar residual o la neumonía organizada y la mortalidad temprana (primeros 6 meses posteriores al evento hemorrágico)21, aunque aún hacen falta estudios que logren caracterizar y predecir mejor estos escenarios en el contexto de nuestra paciente.
Existe un puntaje descrito por Picard et al.22 para predecir HAD de origen inmunológico que incluye las siguientes variables: cuadro de más de 11 días desde inicio de síntomas, síntomas constitucionales, artralgias o artritis y proteinuria mayor a 1 g/L en 24 horas. Nuestra paciente sumó un total de 2 puntos que no conferían alta probabilidad de desarrollar esta entidad, sin dejar de resaltar que el escenario de la TIP no parece producir capilaritis, como es común en otras enfermedades inmunológicas que producen HAD.
En 2017, Quadrelli et al.23 publicaron en Argentina un registro de cohorte retrospectivo de 39 pacientes con HAD de etiología inmune comprobada, ninguno de los cuales tenía TIP. Las principales causas de HAD fueron vasculitis asociadas a ANCA (74,3 %), principalmente granulomatosis con poliangeítis (n:14), poliangeítis microscópica (n:13) y 2 casos de granulomatosis eosinofílica con poliangeítis; 10 pacientes tenían diagnóstico de lupus eritematoso sistémico (LES). Sólo 30 pacientes (76,9 %) tenían hemoptisis (leve en 10, moderada en 20) y todos presentaban infiltrados pulmonares, pero sólo 2 pacientes (5,1 %) presentaban infiltrado unilateral, como en nuestro caso. La tríada clásica de HAD (disnea, anemia e infiltrados alveolares pulmonares) se observó en 27 pacientes (69,2 %) y así como en el cuadro de nuestra paciente. Casi el 40 % de los pacientes requirieron ventilación mecánica invasiva (como en nuestro caso) y la mortalidad hospitalaria fue del 28,2%.
La distribución bilateral perihilar de opacidades en "vidrio esmerilado", descritas como patrón común a los pacientes con HAD24,25, no fue la manera de presentación de nuestra paciente, quien presentaba un patrón radiológico atípico, distribuido predominantemente en el parénquima pulmonar derecho. Lo llamativo es que diferentes casos reportados en la literatura26-28también muestran patrones de presentación radiológica atípicos con respecto a otras etiologías de HAD blanda, con compromiso hacia zonas medias, apical bilateral o apical izquierdo, sin un claro mecanismo fisiopatológico que lo explique.
El LBA a menudo se requiere para identificar o confirmar la hemorragia alveolar y descartar una infección, pero tiene una utilidad limitada para establecer una causa subyacente incluso en el escenario de hemorragia alveolar masiva29, por lo que es necesario establecer un enfoque clínico en simultáneo que permita descartar las causas más probables, como se hizo en este caso. Se considera que la hemorragia de la circulación bronquial causa hasta el 90 % de los casos de hemoptisis masiva, definida como 150 mL de sangre expectorada en 1 hora o 600 mL en 24 horas (100 mL/hora o 500 mL/24 horas, respectivamente, según otras fuentes)29,30. A continuación, se comparte un diagrama de flujo de decisiones diagnósticas relacionadas con el enfoque de la hemoptisis (ver Figura 5).

Rx: radiografía; TC: tomografía computarizada; ATC: angiotomografía computarizada.
Fuente: Reisman S, Chung M, Bernheim A. A Review of Clinical and Imaging Features of Diffuse Pulmonary Hemorrhage. AJR Am J Roentgenol. 2021;216(6):1500-1509. doi: 10.2214/AJR.20.23399. (traducida y ajustada por los autores).
Figura 5 Enfoque diagnóstico del paciente con hemoptisis.
Como limitaciones del presente reporte de caso se encuentra el desconocimiento de las circunstancias que rodearon el diagnóstico previo de trombocitopenia inmune primaria. Si bien al momento de ingresar con la trombocitopenia en rango crítico se repitieron los estudios, la positividad de anticuerpos anti-Ro de manera aislada no descarta por completo una causa secundaria de la misma en el tiempo, a pesar de no confirmarse hemólisis y no cumplir con los criterios diagnósticos actualizados para síndrome de Sjögren ni para LES de inicio tardío. De igual forma, se desconoce el seguimiento ambulatorio de la paciente posterior a la hospitalización; a pesar de tener una imagen de control que mostró resolución de los hallazgos tomográficos en el parénquima pulmonar, sería interesante contar con pruebas de función pulmonar para estimar el impacto de esta complicación severa de la TIP en el tiempo.
Conclusiones
Nuestro caso es un evento aislado dentro del amplio espectro de las manifestaciones de la TIP y su extrapolación hacia otros escenarios es cuestionable. Se considera la heterogeneidad de los pacientes descritos en los diferentes reportes de caso y el gran vacío de información retrospectiva que se tuvo sobre nuestra paciente, una historia de 15 años de evolución sin tratamiento aparente, o con regular adherencia a esteroides y sin seguimiento clínico adecuado. Aunque esta enfermedad es de rara presentación, y son pocos los estudios que caracterizan a individuos con cuadros similares al de este caso clínico, la identificación del mismo en nuestro medio nos alerta sobre la disparidad entre pacientes con una misma enfermedad a la luz de la evidencia actual, la necesidad de nuevos estudios para enfrentar este escenario en particular y la importancia de construir y socializar protocolos transdisciplinarios que permitan la administración de tratamientos combinados. Todo lo anterior con el objetivo de impactar temprana y positivamente en los desenlaces de los pacientes con TIP y complicaciones hemorrágicas mayores, reduciendo además la tasa de recurrencia y ampliando las curvas de supervivencia aún en poblaciones de alto riesgo.
Responsabilidades éticas
Protección de personas y animales: los autores declaran que para esta investigación no se han realizado experimentos en seres humanos ni en animales.
Confidencialidad de los datos: los autores declaran que han seguido los protocolos de su centro de trabajo sobre la publicación de datos de pacientes.
Derecho a la privacidad y consentimiento informado: los autores declaran que en este artículo no aparecen datos de pacientes. Se obtuvo consentimiento informado por parte de la paciente. El manuscrito se elaboró siguiendo la guía CARE.














