Services on Demand
Journal
Article
Indicators
-
Cited by SciELO -
Access statistics
Related links
-
Cited by Google -
Similars in
SciELO -
Similars in Google
Share
Colombia Médica
On-line version ISSN 1657-9534
Colomb. Med. vol.56 no.2 Cali May/Aug. 2025 Epub June 30, 2025
https://doi.org/10.25100/cm.v56i2.6672
Reporte de caso
Actinomicosis abdominal por Actinomyces shaaliae georgiae que simula una neoplasia
1 Universidad Escuela de Ingeniería de Antioquia, Envigado, Colombia
2 Hospital Pablo Tobón Uribe, Medellín, Colombia.
Descripción del Caso:
Reportamos el caso de un hombre de 77 años quien presentó un cuadro de tres semanas de evolución con síntomas constitucionales, acompañado de masa epigástrica indurada de 10 × 7 cm con flictena de 4 cm, exhibiendo respuesta inflamatoria local y sistémica.
Hallazgos Clínicos:
La tomografía computarizada abdominal demostró engrosamiento focal del colon transverso con lesión inflamatoria pobremente definida que se extendía hacia la pared abdominal y colección sugestiva de fístula colocutánea. Los hallazgos clínicos e imagenológicos generaron una fuerte sospecha de malignidad. El cultivo microbiológico del material de drenaje aisló Actinomyces shaaliae georgiae, reforzando la sospecha de proceso neoplásico debido a la presentación pseudotumoral.
Tratamiento y Resultados:
El manejo inicial incluyó terapia antimicrobiana y drenaje percutáneo. La exploración quirúrgica reveló masa pétrea sin planos de clivaje, adherida a órganos adyacentes. El examen histopatológico descartó malignidad, confirmando proceso infeccioso por A. shaaliae georgiae. El paciente recibió antibioticoterapia prolongada con evolución clínica favorable.
Relevancia Clínica:
Este representa, hasta donde conocemos, el primer caso reportado de actinomicosis abdominal causada por A. shaaliae georgiae con esta presentación singular. Las lesiones actinomicóticas forman focos purulentos rodeados de fibrosis extensa, creando masas pseudotumorales que clínica y radiológicamente simulan procesos neoplásicos. Este caso amplía el espectro clínico y repertorio microbiológico de A. shaaliae georgiae, enfatizando la importancia crítica de mantener alta sospecha clínica, implementar abordajes diagnósticos multidisciplinarios y asegurar manejo antimicrobiano apropiado en actinomicosis abdominal para evitar intervenciones quirúrgicas innecesarias y mejorar desenlaces clínicos.
Palabras clave: Actinomyces; Actinomicosis; Actinomyces georgiae
Case Description:
We report the case of a 77-year-old male who presented with a three-week history of constitutional symptoms, accompanied by an indurated epigastric mass measuring 10 × 7 cm with a 4 cm phlyctenae, exhibiting local and systemic inflammatory responses.
Clinical Findings:
Abdominal computed tomography demonstrated focal thickening of the transverse colon with a poorly defined inflammatory lesion extending to the abdominal wall and a collection suggestive of colo-cutaneous fistula. The clinical and imaging findings raised a strong suspicion of malignancy. Microbiological culture from drainage material isolated Actinomyces shaaliae georgiae, further reinforcing the suspicion of neoplastic disease due to the tumor-like presentation.
Treatment and Outcomes:
Initial management included antimicrobial therapy and percutaneous drainage. Surgical exploration revealed a stony hard mass without cleavage planes, adherent to adjacent organs. Histopathological examination excluded malignancy, confirming an infectious process caused by A. shaaliae georgiae. The patient received prolonged antibiotic therapy, resulting in a favorable clinical outcome.
Clinical Relevance:
To our knowledge, this represents the first reported case of abdominal actinomycosis caused by A. shaaliae georgiae with this unique presentation. Actinomycotic lesions form purulent foci surrounded by extensive fibrosis, creating tumor-like masses that clinically and radiologically mimic neoplastic processes. This case expands the clinical spectrum and microbiological repertoire of A. shaaliae georgiae, emphasizing the critical importance of maintaining high clinical suspicion, implementing multidisciplinary diagnostic approaches, and ensuring appropriate antimicrobial management in abdominal actinomycosis to avoid unnecessary surgical interventions and improve patient outcomes.
Keywords: Actinomyces; Actinomycosis; Actinomyces georgiae
Introducción
La actinomicosis es una infección bacteriana crónica causada por bacilos grampositivos ramificados del orden Actinomycetales, familia Actinomycetaceae y género Actinomyces. La especie más frecuentemente implicada en humanos es Actinomyces israelii; sin embargo, en este caso se identificó Actinomyces georgiae, una especie poco común. Se han descrito 49 especies dentro de este género, de las cuales 26 se asocian con enfermedad humana, aunque muchas forman parte de la microbiota comensal normal 1,2.
Estudios de cohorte amplios, donde se incluyeron 650 casos han demostrado que las infecciones por Actinomyces suelen ser polimicrobianas. No obstante, el aislamiento de Actinomyces como único patógeno, como ocurrió en este caso, representa un hallazgo excepcional que resalta la singularidad de la presentación 3.
La infección ocurre tras la ruptura de la barrera mucosa, lo que permite la invasión de los tejidos profundos. Su progresión se caracteriza por la formación del tejido granulomatoso, fibrosis reactiva extensa, necrosis, abscesos, tractos fistulosos y drenaje sinusal 4,5. La actinomicosis es una condición poco frecuente, con una distribución mundial y sin predilección aparente por la edad del huésped, la raza o la estación climática; sin embargo, es más común en hombres, con una incidencia aproximada de 0.3 casos por millón de habitantes 1,6. Los principales factores de riesgo incluyen diabetes mellitus, inmunosupresión, desnutrición y lesión tisular previa 2.
Clínicamente, puede manifestarse como una masa indurada de crecimiento lento, inicialmente indolora, que progresa a la formación de abscesos y fístulas con un drenaje purulento 5. En este contexto, presentamos un caso de actinomicosis abdominal cuya manifestación clínica simuló una neoplasia maligna, con una masa adherida a múltiples órganos, fístula colocutánea y supuración.
Presentación del caso
Se trata de un paciente masculino de 77 años, que fue admitido en la institución por un crecimiento progresivo de tres meses, de una masa abdominal en el epigastrio. El paciente refirió fiebre subjetiva, diaforesis nocturna y una pérdida de peso no cuantificada. Al momento de la admisión se encontraba asintomático con respecto a náuseas o vómitos.
El examen físico, mostró una masa indurada de aproximadamente 10 × 7 cm en el epigastrio estando localizada en el plano subcutáneo, de consistencia pétrea, bordes irregulares, dolorosa a la palpación y con una flictena central de 4 cm que drenaba material purulento de manera espontánea. El material fue enviado a laboratorio para cultivo generando un resultado negativo. Se palpó hepatomegalia sin signos de irritación peritoneal ni lesiones cutáneas compatibles con una diabetes.
Entre sus antecedentes se destacó diabetes mellitus no insulinorrequiriente, hipertensión arterial, dislipidemia, facectomía y amputación traumática de los dedos del pie izquierdo. Fue fumador durante 20 años. Su tratamiento habitual incluía sitagliptina/metformina 50/1,000 mg, losartán 50 mg, amlodipino 5 mg, atorvastatina 40 mg y ASA 100 mg diarios.
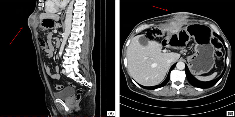
La tomografía computarizada (TC) abdominal (Figura 1) mostró un engrosamiento focal del colon transverso con una lesión inflamatoria mal definida que se extendía hacia la pared abdominal y una colección sugestiva de fístula colocutánea, estos hallazgos aumentaron la sospecha de un proceso neoplásico. La TC torácica contrastada no evidenció alteraciones. Los resultados de laboratorio relevantes se presentan en la Tabla 1.

Figura 1 Tomografía computarizada abdominal en vistas sagital y axial. (A) Vista sagital del abdomen: En la imagen se muestra una masa de tejido blando de densidad heterogénea, claramente delimitada (señalada con flecha roja), ubicada en la pared abdominal y que se extiende hacia la superficie cutánea. (B) Vista axial del abdomen: Se visualiza una masa de tejido blando (flecha roja) adherida a estructuras viscerales, compatible con la presencia de adherencias multiorgánicas.
Tabla 1 Resultados relevantes de pruebas de laboratorio clínico.
| Parámetro | Resultado | Valores de Referencia |
|---|---|---|
| Hemoglobina | 9.9 | 12 - 17.5 g/dL |
| Hematocrito | 29.4 | 36 - 50 % |
| Volumen Corpuscular Medio | 67.4 | 80 - 100 fL |
| Hemoglobina Corpuscular Media | 22.7 | 27 - 33 pg |
| Leucocitos | 11,938 | 4,500 - 11,000 /µL |
| Neutrófilos | 9,013 | 1,800 - 7,700 /µL |
| Antígeno Carcinoembrionario | 1.7 | 0 - 5 ng/mL |
| Hierro Sérico | 110 | 60 - 170 µg/dL |
| Glucosa | 137 | 70 - 140 mg/dL |
| Cultivo Aeróbico | Actinomyces Shaaliae georgiae |
Ante la sospecha de un proceso infeccioso, se inició tratamiento con ciprofloxacina 400 mg vía intravenosa cada 12 horas y metronidazol 500 mg vía intravenosa cada 8 horas, adicionalmente se realizó un drenaje guiado por ultrasonido. El cultivo aeróbico dio un resultado positivo para Actinomyces shaaliae georgiae, lo que reforzó la sospecha de un proceso infeccioso asociado a una posible neoplasia. A pesar del tratamiento antibiótico, los síntomas persistieron, por lo que se realizó una colonoscopia y cuyos hallazgos no fueron concluyentes. Se procedió entonces a realizar una laparotomía exploratoria encontrándose una masa pétrea firmemente adherida a la pared abdominal, al estómago, al colon y al hígado, con presencia de supuración. Se practicó una resección quirúrgica extensa con gastrectomía subtotal, una lobectomía hepática izquierda, una resección de mesenterio y una hemicolectomía izquierda dejando una colostomía temporal.
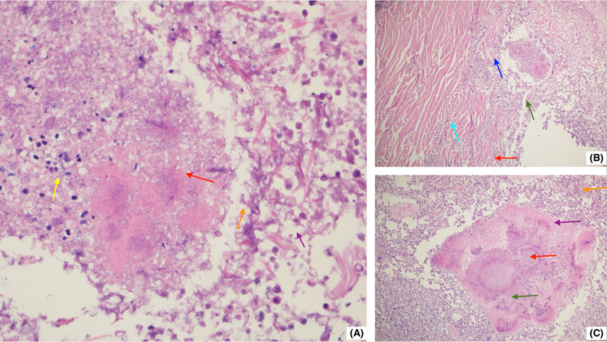
El estudio histopatológico (Figura 2) confirmó infección por A. shaaliae georgiae y se descartó la presencia de una neoplasia. Posteriormente, el paciente presentó complicaciones respiratorias y hemodinámicas. Una angiotomografía confirmó un tromboembolismo pulmonar subsegmentario, y se inició tratamiento de anticoagulación con heparina de bajo peso molecular, sin embargo, el paciente evolucionó desfavorablemente, falleciendo por un paro cardiorrespiratorio.

Figura 2 Hallazgos histopatológicos de actinomicosis abdominal con gránulos de azufre e inflamación supurativa.
(A) Áreas de necrosis y respuesta inflamatoria (H&E, x400):
(Flecha roja): Necrosis coagulativa: una extensa zona de necrosis con pérdida de la arquitectura celular. El citoplasma aparece intensamente eosinofílico y los núcleos están ausentes. También se observa la presencia de gránulos de azufre y agregados basofílicos densos de bacterias filamentosas de Actinomyces rodeadas por una reacción eosinofílica de Splendore-Hoeppli.
(Flecha amarilla): Un infiltrado inflamatorio de células polimorfonucleares (PMN) dispersas alrededor de la necrosis.
(Flecha naranja): Un material fibrilar y de detritos celulares eosinofílicos, con células fragmentadas que presentan cariolisis y picnosis.
(Flecha púrpura): Presencia de microabscesos con detritos celulares y acumulaciones focales de células inflamatorias formando microabscesos.
(B) Zona de transición (H&E, x200):
(Flecha azul): Una degeneración y atrofia muscular: se evidencia una clara distinción entre el músculo estriado preservado y el tejido inflamado. Las colonias actinomicóticas están incrustadas dentro del estroma fibrótico.
(Flecha cian): Fibrosis perimuscular: Se observa la proliferación de fibroblastos y de depósito de colágeno que indican cronicidad.
(Flecha verde): Inflamación granulomatosa perivascular: un infiltrado inflamatorio compuesto principalmente por macrófagos y células epitelioides.
(Flecha roja): Neovascularización reactiva: desarrollo de pequeños vasos sanguíneos en los márgenes de la inflamación.
(C) Gránulos de azufre y reacción inflamatoria crónica (H&E, x400):
(Flecha roja): Colonia bacteriana (gránulo de azufre): un centro basofílico rodeado por una periferia eosinofílica. Los gránulos de azufre son hallazgos patognomónicos de la actinomicosis.
(Flecha verde): Histiocitos espumosos y células epitelioides: Se observan macrófagos activados con citoplasma granular.
(Flecha púrpura): Células gigantes multinucleadas: Se evidencia una respuesta granulomatosa crónica caracterizada por células multinucleadas.
(Flecha naranja): Reacción inflamatoria linfoplasmocítica: Se determina un infiltrado denso de linfocitos y células plasmáticas en la periferia de la lesión.
Consentimiento informado
Se obtuvo o se renunció al consentimiento informado para el tratamiento y publicación de acceso abierto de todos los participantes en este estudio. El Comité de Investigación y Ética emitió la aprobación 1115875. Según el Acta 19/2024 del 3 de octubre de 2024, se autorizó la revisión de la historia clínica con fines académicos y de publicación.
Discusión
Este caso representa un desafío diagnóstico único en el que la actinomicosis imitó una neoplasia requiriendo una evaluación minuciosa, tanto del enfoque diagnóstico como del diagnóstico diferencial. La presentación del paciente, con una masa epigástrica dolorosa e indurada, acompañada de un compromiso cutáneo y de síntomas constitucionales, sugirió fuertemente un proceso neoplásico, particularmente considerando los hallazgos tomográficos de una masa heterogénea con adhesiones multiorgánicas.
En cuanto al estudio diagnóstico, se siguieron los protocolos establecidos para el abordaje de masas abdominales sospechosas. La tomografía computarizada mostró hallazgos característicos que podían corresponder tanto a procesos infecciosos como neoplásicos 7. Los hallazgos tomográficos en la actinomicosis incluyeron la formación de abscesos abdominopélvicos, engrosamiento de la pared intestinal, infiltración inflamatoria de la grasa pericólica y de lesiones en masa, las cuales pueden simular procesos neoplásicos 8. El diagnóstico con frecuencia requiere biopsia e identificación histopatológica del microorganismo 9, además de estudios microbiológicos que confirmen la presencia de Actinomyces spp. Para la detección de Helicobacter pylori en particular, se ha demostrado que la biopsia tisular y las pruebas bioquímicas en bacterias aisladas de muestras de biopsia ofrecen una precisión diagnóstica superior en comparación con otros métodos 10. El cultivo aeróbico positivo para A. shaaliae georgiae fue un hallazgo crucial; sin embargo, este inicialmente incrementó -en lugar de disminuir- la sospecha de malignidad, dado que se ha descrito una coinfección con neoplasias 11.
El diagnóstico diferencial en este caso debió incluir diversas condiciones además de la malignidad. La tuberculosis puede presentarse de manera similar, con síntomas constitucionales crónicos, lesiones en masa y la formación de fístulas. Otras entidades por considerar son la enfermedad de Crohn complicada, otras enfermedades granulomatosas, enfermedad inflamatoria intestinal con perforación e infecciones crónicas como nocardiosis o criptococosis. Las características clínicas de la actinomicosis abdominal descritas en series de casos previas, pueden imitar estrechamente las de otras enfermedades dificultando el diagnóstico 11. Es común que se adicionen antibióticos a los medios de cultivo para inhibir el crecimiento de la flora normal, lo que podría explicar por qué A. shaaliae georgiae fue aislada como único patógeno.
La diabetes mellitus de nuestro paciente probablemente fue un factor contribuyente, pues constituye un factor de riesgo reconocido para la actinomicosis 12. El microorganismo causal, un bacilo grampositivo formador de esporas y componente habitual de la microbiota humana -siendo Actinomyces israelii el más frecuente-, puede volverse patógeno cuando existen condiciones que favorecen la invasión tisular 2. En ocasiones, los bacilos se disponen en forma filamentosa.
Diversos factores de riesgo se han asociado con esta infección, destacando la inoculación directa durante los procedimientos quirúrgicos abdominales o la colonización de dispositivos intrauterinos, particularmente en casos de infecciones vesicales 12. La región cervicofacial es la localización más común de la actinomicosis, mientras que los casos abdominopélvicos representan aproximadamente el 20% del total 7. Un estudio sobre actinomicosis apendicular reportó una incidencia de apenas 0.23% entre pacientes sometidos a apendicectomía 13.
La naturaleza polimicrobiana de la mayoría de los casos de actinomicosis hace que este hallazgo sea particularmente relevante 3. En la mayoría de las infecciones, Actinomyces no se presenta de forma aislada, sino acompañado de otros microorganismos; por ello, su identificación exclusiva en una lesión es infrecuente. En este caso, la identificación de la especie se realizó mediante métodos microbiológicos convencionales y pruebas bioquímicas; no se utilizaron técnicas de PCR, por lo que las secuencias de cebadores y las imágenes de electroforesis no están disponibles. Además, tras una revisión de la literatura no se encontraron reportes previos que describan Actinomyces schaalii georgiae como único agente causal de esta presentación, sin la coexistencia de otros patógenos.
El abordaje quirúrgico estuvo plenamente justificado dada la extensión del compromiso multiorgánico y del fracaso del tratamiento médico 9,12. La naturaleza agresiva de esta infección, evidenciada por los hallazgos histopatológicos -incluyendo invasión tisular, fibrosis e inflamación crónica-, hizo necesaria una intervención quirúrgica radical. El manejo de la actinomicosis requiere típicamente un enfoque multidisciplinario basado en el control de la fuente infecciosa y antibioticoterapia prolongada 2,12. La experiencia clínica derivada de estudios institucionales indica que el tratamiento quirúrgico suele reservarse para los pacientes que no responden al manejo médico o que desarrollan complicaciones 9.
Este caso ilustra la necesidad de incluir la actinomicosis en el diagnóstico diferencial de las enfermedades tumorales, ya que su identificación oportuna puede modificar el abordaje diagnóstico del paciente y reducir los retrasos en la detección 11. La presentación atípica, caracterizada por una masa dolorosa supurativa con infiltración orgánica extensa y el aislamiento exclusivo de A. shaaliae georgiae, convierte este caso en una contribución valiosa a la literatura médica. El espectro de hallazgos imagenológicos y de entidades simuladoras comunes de actinomicosis abdominopélvica destaca el desafío diagnóstico que esta infección representa 8.
Conclusión
Hasta donde se tiene conocimiento, este caso representa una presentación infrecuente de Actinomyces shaaliae georgiae como patógeno único causante de actinomicosis abdominal con fístula colocutánea y adherencias multiorgánicas que simulan una malignidad. Este reporte amplía el espectro clínico de las infecciones por A. shaaliae georgiae y demuestra que la actinomicosis puede presentarse como una infección monomicrobiana y resalta el reto diagnóstico que supone diferenciar las infecciones que imitan a las neoplasias. Se enfatiza la necesidad de mantener una alta sospecha clínica en pacientes con masas abdominales crónicas, especialmente si existen factores predisponentes como la diabetes mellitus.
REFERENCIAS
1. Wong VK, Turmezei TD, Weston VC. Actinomycosis. BMJ. 2011; 343: 6099. Doi: 10.1136/bmj.d6099 [ Links ]
2. Valour F, Sénéchal A, Dupieux C, Karsenty J, Lustig S, Breton P, et al. Actinomycosis: etiology, clinical features, diagnosis, treatment, and management. Infect Drug Resist. 2014; 7: 183-97. Doi: 10.2147/IDR.S39601 [ Links ]
3. Könönen E, Wade WG. Actinomyces and related organisms in human infections. Clin Microbiol Rev. 2015; 28: 419-42. Doi: 10.1128/CMR.00100-14 [ Links ]
4. Lewis RP, Sutter VL, Finegold SM. Bone infections involving anaerobic bacteria. Medicine (Baltimore). 1978; 57: 279-305. Doi: 10.1097/00005792-197807000-00001 [ Links ]
5. Mabeza GF, Macfarlane J. Pulmonary actinomycosis. Eur Respir J. 2003; 21: 545-51. Doi: 10.1183/09031936.03.00089103 [ Links ]
6. Bennett JE, Dolin R, Blaser MJ. Mandell, Douglas, Bennett's principles and practice of infectious diseases. Ninth edition. E-Book: 2-volume set. Elsevier health sciences; 2019. [ Links ]
7. Heo SH, Shin SS, Kim JW, Lim HS, Seon HJ, Jung SI, et al. Imaging of actinomycosis in various organs: a comprehensive review. Radiographics. 2014; 34: 19-33. Doi: 10.1148/rg.341135077 [ Links ]
8. Triantopoulou C, der Molen AV, Es ACV, Giannila M. Abdominopelvic actinomycosis: spectrum of imaging findings and common mimickers. Acta Radiol Short Rep. 2014; 3: 2047981614524570. Doi: 10.1177/2047981614524570 [ Links ]
9. Sung HY, Lee IS, Kim SI, Jung SE, Kim SW, Kim SY, et al. Clinical features of abdominal actinomycosis: A 15-year experience of a single institute. J Korean Med Sci. 2011; 26: 932-7. Doi: 10.3346/jkms.2011.26.7.932 [ Links ]
10. Rahimkhani M, Mordadi A, Kazemian K, Khalili H. Comparison of Helicobacter pylori detection methods: It's association with leukocytosis and monocytosis. Infectious Disorders Drug Targets. 2020; 20(6): 920-924. Doi: 10.2174/1871526520666200707113955 [ Links ]
11. Choi M-M, Baek JH, Lee JN, Park S, Lee W-S. Clinical features of abdominopelvic actinomycosis: report of twenty cases and literature review. Yonsei Med J. 2009; 50: 555-9. Doi: 10.3349/ymj.2009.50.4.555 [ Links ]
12. Vasilescu AM, Târcoveanu E, Lupascu C, Blaj M, Lupascu Ursulescu C, Bradea C. Abdominopelvic Actinomycosis-the diagnostic and therapeutic challenge of the most misdiagnosed disease. Life. 2022; 12: 447. Doi: 10.3390/life12030447 [ Links ]
13. Arslan RS, Koca YS, Beyoglu R, Yenipazar AE. Appendecular actinomycosis: A case series of 14 patients. Med Clin (Barc). 2024; 162: 500-4. Doi: 10.1016/j.medcli.2024.02.005 [ Links ]
Notas:
Recibido: 17 de Febrero de 2025; Revisado: 24 de Mayo de 2025; Aprobado: 30 de Junio de 2025









text in 



