Introducción
El hipertiroidismo es una patología caracterizada por un aumento de la secreción de hormona tiroidea (TSH) 1. Una de las etiologías más frecuentes es la enfermedad de Graves, caracterizada por la presencia de anticuerpos autorreactivos contra el receptor de TSH 2. Los agentes antitiroideos disponibles para el tratamiento de esta afección son las tionamidas, dentro de los cuales está el metimazol (MMI) y el propiltiouracilo (PTU). Se prefiere el uso de MMI sobre el PTU, debido a su vida media biológica (3-5 h vs. 1-2 h) y un menor riesgo de efectos adversos 3.
Los efectos adversos asociados con las tionamidas pueden ser desde leves (por ejemplo, exantema, urticaria y artralgia) hasta efectos poco frecuentes pero severos (como la agranulocitosis y la anemia aplásica [AA]). Esta última se ha vinculado con un riesgo muy bajo de presentación dado por su uso: hasta <0.1 % de las condiciones hematológicas relacionadas con tionamidas 4,5. El mecanismo por el cual MMI produce AA se ha conectado con diferentes condiciones, incluyendo factores inmunológicos, genéticos o a la toxicidad per se del MMI 6.
Sin embargo, su tratamiento consiste en soporte transfusional y retiro de la tionamida con un pronóstico favorable 6. Sin embargo, pocos son los casos descritos donde persiste la AA con desenlaces negativos, situación que motiva a presentar el siguiente caso clínico.
Presentación de caso
El caso corresponde a una mujer de 38 años, de etnia mestiza, procedente de una zona rural, con antecedente relevante de enfermedad de Graves diagnosticada 4 meses atrás, previo a su ingreso, en seguimiento y manejo ambulatorio por endocrinología con 15 mg diarios de metimazol y adecuada adherencia. La paciente negaba otros antecedentes personales o familiares de importancia. Consultó por un cuadro clínico de 3 semanas de evolución, consistente en epistaxis anterior asociada con petequias, astenia e hiporexia, por lo cual acudió a urgencias de otra institución, por la sintomatología referida, donde documentaron: leucocitos 2300 cél./mm3, hemoglobina (Hb): 3.7 g/dl y plaquetas 5000 cél./mm3, reticulocitos 2 % y una TSH: 0.02 UI/ml con T4L: 1.82 ng/dl. Ante estos hallazgos, se transfundieron 2 unidades de glóbulos rojos y una dosis de factor estimulante de colonias con la suspensión del MMI. Por falta de disponibilidad de hematología en esa institución, fue derivada para valoración por el área de hematología dos días posteriores a su ingreso.
En nuestra institución presentaba signos vitales estables con hallazgos positivos en el examen físico de palidez mucocutánea y presencia de petequias de predominio en las extremidades inferiores, sin otros hallazgos relevantes. Dentro de los laboratorios de ingreso, se destacó la presencia de pancitopenia, con otras pruebas negativas (tabla 1).
Por su historia de uso de mmi y sospecha de aa, se le realizó una biopsia y aspirado de médula ósea con documentación en la citometría de flujo y mielograma de disminución de todas las líneas celulares dado por neutrófilos: 2.3 %, linfocitos B: 2.2 % politípicos y linfocitos T: 2.5 %, sugestivos de aa (figuras 1 y 2). Al quinto día de hospitalización, se recibió el resultado de la biopsia de médula ósea con hallazgos morfológicos indicativos de aa.

Figura 1 Coloración hematoxilina-eosina de la médula ósea en 4X. Espacios trabeculares con aproximadamente un 10 % de celularidad

Figura 2 Coloración hematoxilina-eosina de la médula ósea en 40X. Baja representación de línea mieloeritroide, presencia de menos de un megacariocito por campo de gran aumento. No se observan células tumorales
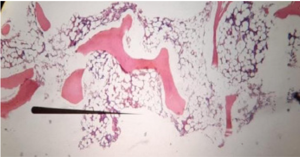
La paciente continuó en observación clínica y vigilancia después de retirar el mmi; pero sin mejoría en el conteo celular durante más de 8 días. Por ello requirió soporte transfusional de glóbulos rojos y aféresis de plaquetas. Durante la segunda semana de vigilancia, las cantidades de plaquetas se mantuvieron por encima de >50 000 cél./mm3, por lo cual se planteó seguimiento y control ambulatorio prioritario. Sin embargo, a los 22 días del alta, consultó nuevamente por un cuadro de 8 días, dado por persistencia de la astenia y las petequias, con documentación em hemograma de control de leucocitos: 2090 cél./mm3; neutrófilos: 380 cél./mm3; Hb: 4.0 g/dl, y plaquetas 5000 cél./mm3, a pesar de haber completado 5 semanas de suspensión del MMI. Se solicitó nueva biopsia y aspirado de médula ósea en el sitio contralateral a la primera biopsia, con hallazgos sugestivos de persistencia de cambios aplásicos (figura 3).
Por lo anterior, se mantuvo bajo vigilancia clínica y se continuó con soporte transfusional. A los 2 días se le da egreso con plaquetas >50 000 cél./mm3 y se cita en una semana para inicio de tratamiento inmunosupresor con inmunoglobulina antitimocítica, ciclosporina y prednisolona. Sin embargo, antes de iniciar el manejo, presentó complicaciones hemorrágicas gastrointestinales e infecciosas. Fue valorada en una institución externa donde falleció, desafortunadamente.
Discusión
Se sabe que las tionamidas son los agentes de elección en pacientes con enfermedad de Graves; sin embargo, estos pueden causar afectación en el sistema hematopoyético, ya sea en una o en todas las líneas celulares 4. La presentación de AA asociada con MMI es extremadamente rara y la mayoría son presentaciones de casos. En una cohorte de pacientes con enfermedad de Graves, 55 presentaron afectación hematológica, de los cuales solo 2 desarrollaron AA, esto asociado con un pobre pronóstico 7. Esta condición es más frecuente en el género femenino entre los 100 y los 150 días posteriores al inicio de las tionamidas, factor que coincide con el momento de presentación de las aa en nuestra paciente 7,8.
El mecanismo por el cual se presenta la AA se ha vinculado con diversas condiciones multifactoriales. Entre ellas, la parte genética e inmune tienen una probable mayor correlación. Los polimorfismos específicos de los genotipos HLA desempeñan un papel crucial en diversas reacciones asociadas con medicamentos (RAM). Se han asociado alteraciones en los alelos HLA-B 27:05 y 38:02 y en hla-drb1 08:03, que podrían favorecer reacciones mediadas por células T contra la proliferación y diferenciación de células madre hematopoyéticas pluripotentes en la médula ósea ante los metabolitos oxidativos de las tionamidas 9. La parte inmunológica toma fuerza actualmente como el mecanismo asociado a AA y tionamidas, dada la frecuente relación con anemia hemolítica y síndromes parecidos al lupus en pacientes manejados con estos medicamentos 10.
Dentro del estudio de las etiologías, se descartaron otras causas que pudieran explicar la presencia de AA, entre ellas las infecciosas. No se tomaron pruebas inmunológicas, por la historia negativa de síntomas asociados con una probable enfermedad autoinmune; además, la paciente no tenía historia de radiación o quimioterapia u otro agente causal. Se aplicó el algoritmo de Naranjo para evaluar el nexo de RAM con el MMI con una puntuación de 5 (5-8 puntos: reacción asociada con un medicamento probable).
La mayoría de casos de AA se han relacionado con dosis altas de MMI (>40 mg) 3,11. Aunque la paciente venía recibiendo solo 15 mg de MMI, cabe destacar que se han notificado casos de AA con dosis menores de 40 mg/día de MMI 12. En la mayoría de los pacientes, el pronóstico de la AA es favorable, con una supervivencia estimada >70 %, junto con una recuperación celular y clínica entre 2 y 5 semanas con la suspensión de MMI y terapia inmunosupresora 12. Hay reportes actuales en los que la AA persiste a pesar de retirar el MMI 7, con posteriores desenlaces fatales, como el caso presentado.
Conclusión
Son pocos los casos de AA asociados con MMI, de ahí que este sea un caso relevante, por la mala respuesta ante el retiro del medicamento y la mortalidad asociada. Aunque el desarrollo de este efecto adverso es inferior al 0.1 %, es importante mencionar que se debe tener en cuenta esta condición hematológica vigilando de manera periódica al paciente, evitando dosis altas de MMI y el uso concomitante de otros agentes mielosupresores. Indiscutiblemente, el manejo de esta condición será la retirada del MMI, soporte transfusional y terapia inmunosupresora.
Contribución de los autores
Juan David Orozco Burbano: realización de manuscrito; Blanca Viviana Fajardo: reporte y descripción, toma de fotografías de placas de aspirado y biopsia de médula ósea. Mario Ernesto Correa Correa: revisión y ajustes del manuscrito. Elvia Nohelia Muñoz: reporte y descripción, toma de fotografías de placas de aspirado y biopsia de médula ósea. Jesús Iván López Palechor: recolección de datos y consentimiento informado de la paciente.
















