Introducción
La nefropatía por IgA (NIgA) es la enfermedad glomerular crónica más prevalente en muchos países del mundo, tales como Australia, Japón, Francia y Estados Unidos [1]. En pediatría, la frecuencia de esta enfermedad no está establecida, dado que la realización de biopsia renal no es rutinaria [2]. Sin embargo, se ha descrito una incidencia del 10% en biopsias renales de afroamericanos y europeos americanos, y hasta en el 38 % de nativos americanos [1]. De igual manera, pese a que inicialmente era considerada una enfermedad benigna, puede llevar a falla renal terminal a los 10-15 años en el 10-11 % de los casos y al 20-30 % de los casos a los 20 años [2-4]. En estos estudios, el diagnóstico de NIgA se realizó en una etapa temprana de la infancia al tamizar y seguir a los niños con proteinuria y/o hematuria.
Dentro de las presentaciones clínicas de NIgA que marcan mejores desenlaces en pediatría se incluye la presencia de proteinuria mínima al diagnóstico [5]. En adultos se ha descrito proteinuria moderada o severa, falla renal, hipertensión arterial al debut, obesidad, hipoal-buminemia y tiempo promedio de hipertensión arterial como variables de mal pronóstico renal [4, 6, 7]. El aspecto histopatológico de la glomerulopatía es muy variable, existiendo varios sistemas para clasificar las lesiones microscópicas de la NIgA. Estas clasificaciones se basan en la severidad y extensión de la proliferación mesangial, el porcentaje de glomérulos con lesiones segmentarias, con semilunas y/o esclerosis global, y en algunos esquemas, la extensión del daño tubulointersticial. La clasificación actualmente más usada es la clasificación de Oxford (MESTC), la cual busca dar al clínico una aproximación pronóstica [8-10] teniendo en cuenta los siguientes factores: hipercelularidad mesangial, hipercelularidad o proliferación endocapilar, glomeruloesclerosis segmentaria, atrofia tubular y/o fibrosis intersticial, y presencia de semilunas [8-10]. Los factores histopatológicos de mal pronóstico descritos incluyen la presencia de hipercelularidad mesangial y endocapilar, glomeruloesclerosis segmentaria, semilunas en más del 30 % de los glomérulos, atrofia tubular y/o fibrosis intersticial [4,6,11-13].
Se ha planteado que en la NIgA se induce la activación del complemento por la vía alterna y por la vía de las lectinas [14]. Estudios in vitro han valorado el C4d (fragmento producido por el clivaje de C4) como marcador de activación del complemento. Diversos estudios han encontrado depósitos de C4d (principalmente en mesangio, pero también en pared capilar y epitelio tubular) en todos los casos con evidencia de activación del complemento por la vía de las lectinas (tinción positiva para mannose-binding lectin (MBL) y L-ficolina) [14,15]. El C4d se ancla a través de un enlace covalente a las células adyacentes donde se depositan los complejos inmunes. Tal enlace, al tener una vida media más larga, se ha propuesto como una "huella" de activación y se ha estudiado en un esfuerzo por encontrar otros marcadores histológicos predictores de mal pronóstico en la enfermedad [11,16-18].
Estudios retrospectivos en niños y adultos han correlacionado la tinción de C4d mesangial con disminución progresiva en la tasa de filtración glomerular (TFG), mayores valores de proteinuria [14,17-27] y/o desarrollo de enfermedad renal terminal [4,14,18,19,21,22,25,28].
Otros estudios han encontrado una correlación entre una tinción positiva para C4d y la gravedad histológica, según la clasificación de Oxford [14, 19, 20, 22, 23, 25-29] y la de Haas [17]. Se ha encontrado que la presencia de depósito de C3 y C4d en el análisis de la biopsia renal de diagnóstico, mejora la predicción de riesgo para desenlaces renales [19, 22]. Sin embargo, hasta el momento no hay biomarcadores pronósticos urinarios ni séricos diferentes a la TFG y la proteinuria [10].
El objetivo del presente estudio es correlacionar la presencia diagnóstica de C4d en biopsias renales con variables clínicas e histológicas en pacientes con NIgA.
Métodos
El Hospital Universitario Fundación Valle del Lili (FVL) es un hospital de tercer nivel, ubicado en la ciudad de Cali, que funciona como centro de referencia del suroccidente colombiano con un cubrimiento aproximado de 10 millones de personas y cuenta con un servicio de nefrología pediátrica que atiende a 3000 pacientes por año. La FVL es centro de remisión para la realización de biopsias renales de niños y, por tanto, representa una importante aproximación diagnóstica de la nefropatía por IgA en la región. Este estudio fue realizado bajo los lineamientos de la Declaración de Helsinki y fue aprobado por el Comité de Ética en Investigación Biomédica de la institución (#1397).
Grupos de estudio y variables de recolección
Se trata de un estudio observacional y retrospectivo (2011-2018), en el cual se incluyeron todos los pacientes pediátricos con diagnóstico histopatológico de NIgA y que contaran con material de biopsia renal adecuado para la tinción de C4d. Se excluyeron los pacientes sin disponibilidad de tejido renal idóneo para la tinción. Los datos fueron obtenidos de las historias clínicas de la institución.
Variables de exposición
Se recolectaron variables demográficas, características clínicas y resultados histopatológicos de los pacientes con NIgA. El material obtenido de los bloques de la biopsia renal diagnóstica fue analizado por dos nefropatólogos (CJ, AMA) quienes los clasificaron de acuerdo con la clasificación de Oxford (tabla 1) [30]. Adicionalmente, se reportó la presencia o ausencia de semilunas fibrosas [10], celulares, aterosclerosis y porcentaje de glomeruloesclerosis global. Posteriormente, se les realizó inmunotinción para C4d por un citohistotecnólogo (NH). Los reportes de las tinciones fueron analizados por (CJ, AMA) para determinar los resultados.
La tinción de C4d se reportó como tinción positiva en área mesangial, en paredes capilares glomerulares y a nivel tubular o global.
Tabla 1 Clasificación de Oxford
| M: Hipercelularidad mesangial | MO ausente / M1 presente |
| E: Hipercelularidad endocapilar | EO ausente / E1 presente |
| S: Esclerosis focal y segmentaria | SO ausente / S1 presente |
| T: Fibrosis intersticial y atrofia tubular | T0 (0-25 %) T1 (26-50 %) T2 (>50 %) |
Fuente: adaptado de Working Group of the International IgA Nephropathy Network and the Renal Pathology Society. The Oxford classification of IgA nephropathy: pathology definitions, correlations, and reproducibility. Kidney Int. 2009 Sep;76(5):546-56. doi: 10.1038/ki.2009.168 [30].
Variables de resultado
La variable resultado principal fue la TFG al momento del diagnóstico y al último seguimiento. La TFG fue calculada utilizando la fórmula de Schwartz para menores de 18 años [31]. Una vez calculada, se categorizó de acuerdo con la clasificación internacional KDIGO para evaluar la función renal del paciente [10,32]. Se definió insuficiencia renal como una TFG menor a 60 mL/min/1.73m2 (estadio IIIA según clasificación KDIGO).
El nivel de proteinuria se definió como valor de proteínas en el uroanálisis expresado en mg/dl o por cruces (leve entre 30 - 99 mg/dl / +, moderada entre 100 y 299 mg/dl / ++ y severa más de 300 mg/dl / +++) o de acuerdo al valor de la relación proteinuria / creatininuria en muestra espontánea de orina (rango nefrótico > 2), hematuria como presencia de 3 o > glóbulos rojos por campo de alto poder, hipertensión arterial como presión arterial sistólica y/o diastólica por encima del percentil 95 para la edad, sexo y talla [33], necesidad de terapia de reemplazo renal, trasplante y muerte. Todas las variables anteriores se tomaron como variables de desenlace secundarios.
Análisis estadístico
Las variables dicotómicas fueron reportadas como porcentajes. Las variables continuas se presentan como medianas y rangos intercuartílicos, o promedios y desviaciones estándar, de acuerdo con la normalidad de su distribución. Los análisis fueron realizados con el paquete estadístico Stata® 14.0 (StataCorp, 2014, College Station TX, USA).
Resultados
Durante los años 2011 al 2018, 25 pacientes pediátricos con NIgA fueron seguidos en la institución. Catorce pacientes presentaron material histopatológico apto para tinción para C4d. La selección de pacientes se describe en la figura 1.
Al momento del diagnóstico
La tabla 2 describe las características clínicas de los pacientes al momento de la biopsia de diagnóstico. El 57.2 % de los pacientes fueron de género masculino, todos eran de raza mestiza, la mediana de edad al inicio de síntomas fue de 7 años (RIC 5.0-9.5) y de 8.5 años (RIC 5.5-10.5) al momento del diagnóstico. La mediana de la TFG fue de 88 mL/min/1.73m2 (73.5-111.3). El 42.8 % de los pacientes presentaron proteinuria moderada-severa, 21.4 % proteinuria en rango nefrótico, 28.6 % hematuria macroscópica, 64.3 % hematuria microscópica y un paciente, hipertensión arterial.
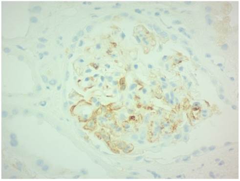
De acuerdo con la clasificación de Oxford, en el 50 % del total de las biopsias renales se encontró hipercelularidad mesangial, seguido por hipercelularidad endocapilar (26.6 %), el 42.9 % mostró glomeruloesclerosis focal y segmentaria, y el 14.2 % fibrosis intersticial y atrofia tubular (IFTA) T1-T2 (tabla 3). Se encontraron dos biopsias con tinción positiva para C4d, una con localización focal en paredes glomerulares y la otra difusa en el área mesangial y paredes glomerulares (figura 2).
Tabla 2 Variables al momento del diagnóstico (n= 14)
| Características | n(%) |
| Género, n (%) | |
| Masculino | 8 (57.2) |
| Femenino | 6 (42.8) |
| Etnia, n (%) | |
| Mestizo | 14(100) |
| Blanco | 0(0) |
| Negro | 0(0) |
| Indígena | 0(0) |
| Edad al inicio de síntomas años), mediana (RIC) | 7.0 (5.0-0.5) |
| Edad al diagnóstico (años), mediana (RIC) | 8.5 (5.5-10.5) |
| Tasa de Filtración glomerular | 88 (73.5-111.3) |
| (mL/min/1.73m2), mediana (RIC) | |
| Severidad proteinuria (%) | |
| Leve | 8 (57.2) |
| Moderada | 3 (21.4) |
| Severa | 3 (21.4) |
| Relación proteinuria/creatinuria, n (%) | |
| En rango no nefrótico | 11 (78.6) |
| En rango nefrótico | 3 (21.4) |
| Hipertensión arterial, n ( %) | 1 (7.1) |
| Hematuria macroscópica n (%) | 4 (28.6) |
| Hematuria microscópica n (%) | 9 (64.3) |
Fuente: elaboración propia.
Con respecto al esquema farmacológico con el que los pacientes se encontraban previo a la biopsia renal, de los 14 pacientes a los cuales se les realizo tinción para C4d: 6 recibían solo IECA, 2 recibían IECA y esteroide, 2 solo esteroide, 2 no tenían ningún manejo farmacológico y en 2 pacientes, no se pudo obtener datos (incluyendo 1 de los casos con tinción positiva para C4d). Uno de los pacientes con biopsia renal positiva para C4d recibía solo IECA antes de la biopsia renal. Durante el seguimiento 4 pacientes recibieron MMF.
Respecto al nivel de proteinuria al diagnóstico: uno de los tres pacientes con proteinuria en rango nefrótico recibía IECA y esteroide, el otro solo esteroide y el último, no tenía ningún manejo farmacológico. De los casos con proteinuria en rango no nefrótico, 7 recibían IECA y 2 esteroide.
Último seguimiento
Once de 14 (78.5 %) pacientes fueron seguidos en el tiempo. De los sujetos perdidos en el seguimiento se encontraba uno con tinción positiva para C4d. La mediana de tiempo entre la realización de la biopsia renal y el último seguimiento fue de 5.6 años (RIC 3.7-7 8), la mediana de edad fue de 14 años (RIC 12-17) y la mediana TFG fue de 94.6 mL/min/1.73m2 (65.7-111.2). La TFG del paciente con tinción para C4d positiva fue de 123 mL/min/1.73m2. No se presentaron muertes en los participantes (tabla 4).
Tabla 4 Variables en el último seguimiento (n=11)
| Características | N (%) |
|---|---|
| Tiempo entre biopsia renal y último seguimiento (años), mediana (RIC) | 5.6 (3.7-7.8) |
| Edad (años), mediana (RIC) | 14(12-17) |
| Hematuria macroscópica, n ( %) | 1 (7.1) |
| Hematuria microscópica, n ( %) | 3 (21.4) |
| Hipertensión arterial n ( %) | 0(0) |
| Trasplante renal n ( %) | 1 (7.1) |
| Muerte n ( %) | 0(0) |
Fuente: elaboración propia.
En el último seguimiento, 6 pacientes recibían IECA, 1 esteroide y ninguno MMF, ciclofosfamida, ni ciclosporina. Uno de los pacientes positivos en la biopsia renal para C4d, al momento del último seguimiento, se encontraba con proteinuria mínima y continuaba en manejo solo con IECA. No se contaron con datos del otro paciente con tinción positiva para C4d.
Discusión
En nuestro estudio no se encontraron variables clínicas, ni histológicas, de peor pronóstico renal en los pacientes con NIgA y tinción para C4d positiva en biopsia renal. Encontramos que el 14.2 % de los participantes tuvo una tinción positiva para C4d en la biopsia renal, lo cual es un porcentaje menor del reportado en otros estudios [17,18, 23, 26, 28]. En nuestro estudio, uno de ellos, al momento del diagnóstico, tuvo proteinuria leve y una TFG de 117 mL/min/1.73m2. Al final del seguimiento de este caso no se evidenció deterioro de la función renal (123 mL/min/1.73m2). En la biopsia se reportó C4d focal en paredes glomerulares, sin glomeruloesclerosis global ni focal y segmentaria, sin semilunas fibrosas ni celulares, ausencia de hipercelularidad mesangial y endocapilar, e IFTA 0-25 % (T0). En el segundo caso no se contó con datos clínicos debido a pérdida en su seguimiento. La biopsia de este caso reportó una tinción difusa para C4d en el área mesangial y las paredes glomerulares.
Todos los pacientes se encontraban en manejo con IECA o esteroide al momento de la biopsia renal. No consideramos que el manejo que recibieron los pacientes antes de la biopsia renal esté relacionado con los resultados negativos de la tinción para C4d. No hay evidencia que relacione el esquema inmunosupresor con los resultados de tinción para C4d.
En una revisión sistemática reciente, Yuanyuan Jiang y colaboradores, describieron un total de 12 estudios (1251 pacientes), que tenían como objetivo determinar si la tinción de C4d es un predictor de severidad de la presentación de la NIgA; de ellas solo dos involucraron pacientes pediátricos. La prevalencia de los depósitos de C4d en biopsias renales fue del 34 % (95 % IC, 27 %-41 %) con una alta heterogeneidad entre los estudios incluidos (I2 =86 %; P<0.001). Los pacientes que tuvieron depósitos glomerulares de C4d reportaron menores TFG (MD, -11.48; 95 % IC, -18.27 to -4.70; P <0.001, I 2 =80 %; P<0.001), relaciones proteína/creatinina más altas (MD, 0.87; 95 % IC, 0.53-1.21; P <0.001) y más riesgo de hipertensión arterial (RR, 1.45; 95 % CI, 1.06-1.99; P = 0.02) comparado con aquellos sin depósitos [34].
Los estudios exclusivamente en población pediátrica son más limitados, Baek y colaboradores, en una cohorte retrospectiva de 56 niños en Corea, describió una prevalencia de tinción para C4d positiva del 55.4 %, con un mayor índice (media de 1.4mg/mg) proteinuria/creatinuria (P=0.001), mayor uso de inmunosupresores (P=0.005) y mayor proliferación mesangial, según la clasificación de Oxford (P<0.001) en las biopsias de dichos pacientes. No hay descripción del tiempo de seguimiento ni del momento de la realización de la tinción para C4d en el grupo con resultado negativo para la tinción. Este grupo tuvo una media de TFG de 114.0 ± 25.8 y el grupo de tinción positiva una media de TFG de 105.9 ± 36.8 mL/min/1.73m2 [17].
En otro estudio en Latinoamérica (Brasil), Fabiano y colaboradores, en una cohorte retrospectiva pediátrica de 47 pacientes con una media de seguimiento de 8.3 años, encontraron una tinción glomerular positiva para C4d en el 78 % de los pacientes. Este grupo presentó mayor proteinuria de 24 horas basal (1.66 ± 0,68 vs 0.47 ± 0.19 g/día/1.73 m2, P <0,001), también disminución progresiva en la TFG (-10.04 ± 19.38 vs 1.70 ± 18,51 ml/min/1,73 m2/año; P =0,045) y lograron, con mayor frecuencia, el resultado primario del estudio que fue descenso del 50 % de la TFG (50.0 % vs 10.8 %, P = 0.013) y mayor enfermedad renal terminal (30,0 % vs a 2,7 %, P = 0,026) en comparación con el grupo con tinción de C4d negativa [18].
Nuestros hallazgos no son consistentes con lo descrito en la literatura con relación a la presencia de tinción para C4d positiva en la biopsia renal y una mayor severidad de proteinuria al momento del diagnóstico [14,17,22,25-27], mayor deterioro progresivo de la TFG hasta enfermedad renal crónica terminal y por ende, una menor supervivencia renal [14,18,19,21,22,25,26,28]. Tampoco se encontró relación con una mayor gravedad histopatológica, según la clasificación de Oxford [14,19,20,22,23,25-29].
Conclusión
No se encontraron variables clínicas ni histológicas de peor pronóstico renal en los pacientes con NIgA y tinción para C4d positiva en biopsia renal. Se requieren estudios con muestras mayores, seguimientos clínicos más largos y en lo posible, el uso de combinación de marcadores como C3 y C4d.

















