Introduction
In December 2019 the world witnessed the onset and dissemination of a novel infectious disease, coronavirus disease or COVID-19 - caused by severe acute respiratory syndrome coronavirus 2 (SARS-CoV-2 virus) - which quickly emerged into a pandemic on a colossal scale [1]. Since then, it has been understood that COVID-19 can have various clinical presentations, ranging from asymptomatic to systemic manifestations. However, pulmonary involvement is the most characteristic feature of this disease. Lung involvement can cause diffuse alveolar damage and also induce severe respiratory distress syndrome [2,3]. Nevertheless, the kidney is another organ with considerable involvement, by being a mortality maker that can reach up to 90 % [2,4, 5], especially in patients with comorbidities such as chronic kidney disease, hypertension, and diabetes mellitus [2,3,6].
Among the clinical manifestations of kidney injury due to COVID-19, there have been reports on hematuria, proteinuria, and elevated urea and creatinine levels, resulting in acute renal failure requiring renal replacement therapy [2, 4, 6].
It has been speculated that the receptor for angiotensin converting enzyme 2 (ACE2) is the putative receptor that SARS-CoV-2 binds to, allowing the virus to enter renal cells (podocytes and proximal tubules cells) [2, 6]. ACE2 receptor is a hundred times more abundant in the kidney than in the lung, making the renal tissue a true reservoir of SARS-CoV-2 [2,6].
In the present report, two cases of proteinuria secondary to podocytopathy in SARS-CoV-2 infection are presented.
Case Reports
Clinical case 1
A 22-year-old male patient who had no pathologic antecedents in his medical record presented fever, olfactory amnesia, dysgeusia, diarrhea and anasarca at the time of admission to our healthcare center. After performing a PCR for SARS-CoV-2, the result came back positive. Among the laboratory studies carried out, elevated serum lactate dehydrogenase values (LDH, 274 U/L), hypercholesterolemia (261 mg/dl) and hypoalbuminemia (2.6 g/dl) can be highlighted. By contrast, creatinine test(1 mg/day) and uremia (38 mg/day) levels were normal. Additionally, the virus test panel for human immunodeficiency virus (HIV), hepatitis B (HBV), hepatitis C (HCV), cytomegalovirus (CMV) and Epstein-Barr virus (EBV) was negative. The tests for the immunological markers pANCA, cANCA, ANAS and anti-DNA were negative, and complement component levels were normal: C3 116 mg/dl (88-165 mg/dl) and C4 16.4 mg/dl (14-44 mg/dl). PLA2R antibody was not measured since it was not available. However, severe proteinuria was present (26 g/day). Urotomography revealed normal kidneys and pleural effusion. A diagnosis of pneumonia caused by SARS-CoV-2 and nephrotic syndrome was made. Treatment with furosemide (40 mg/day), enalapril (10 mg/day), spironolactone (25 mg/day) and atorvastatin (10 mg/day) was initiated, and kidney biopsy was performed. Light microscopy revealed eight glomeruli showing glomerulomegaly without any evidence of fibrous or cellular crescents. A pattern of minimal changes in the absence of any remarkable glomerular abnormality was identified, except for one observed glomerulus that presented segmental mesangial proliferation. Furthermore, no abnormalities in the basement membranes, duplication, spicules or double contour were identified. Alterations in the tubules, vessels, and interstice were not observed. Direct immunofluorescence studies revealed no immunoglobulin or complement deposits (Figures 1 and 2). From the ultrastructural point of view, it was possible to demonstrate changes associated with podocyte foot fusion in >80 % of the basal membrane extension, which constituted a diffuse podocytopathy (Figure 3). Two weeks later, the patient showed spontaneously significant proteinuria (0.5 g/dia), edema reduction, as well as negative PCR result for SARS-CoV-2 in a new exam, thus he was discharged.

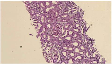
Note: Panoramic vision of a kidney biopsy in which two glomeruli can be observed.
Source: the authors.
Figure 1 Case 1 - Light Microscopy (panoramic image)

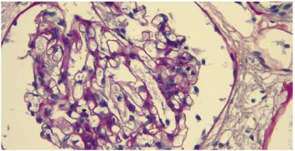
Note: Light microscopy with Periodic acid-Schiff (PAS) stain showing normal basal membranes and mild mesangial hypercellularity
Source: the authors.
Figure 2 Case 1 - Light Microscopy (glomerulus image)
Conclusion
The patient presented nephrotic syndrome secondary to podocytopathy associated to COVID-19, with histological expression of minimal changes and slight mesangial proliferation, without evidence of immunological deposits. However, it should be pointed out that since this biopsy did not have the ideal number of glomeruli, the presence of focal segmental sclerosis could have been missed.
Clinical case 2
A 37-year-old male patient with obesity and mild cognitive alteration, who had no pathologic antecedents in his medical record, was admitted with 7 days of progressive non-productive cough, fever, dyspnea at rest, and poor ventilatory mechanics. The laboratory studies highlighted the presence of leukocytosis (14,500 mm3) with neutrophilia (93 %), elevated levels of serum urea (220 mg/dl), creatinine (9.4 mg/dl), kalemia (6 mmol/L), ferritin (1,228), LDH (670 U/L) and D-dimers (3,210 ng/ml). Moreover, the urinalysis (proteinuria and hematuria), which was previously normal, became altered. Chest computed tomography revealed infiltrates consistent with pneumonia caused by COVID-19. The patient was admitted to the intensive care unit and thus, treatment was initiated with corticosteroids, antibiotics and renal replacement therapy (intermittent hemodialysis). The patient had an adequate clinical response to the above-mentioned treatment, in addition to recovery from the previously altered diuresis and increased nitrogen levels (now uremia: 80 mg/dl, creatinine test: 2.8 mg/dl). Subsequently, the patient presented hypertension and nephrotic syndrome (proteinuria: 4 g/day, hypoalbuminemia: 2.6 g/dl, hypercholesterolemia: 300 mg/dl, and anasarca). Treatment with loop diuretics was initiated (40 mg/day), and a renal biopsy was performed (Figures 4 and 5).

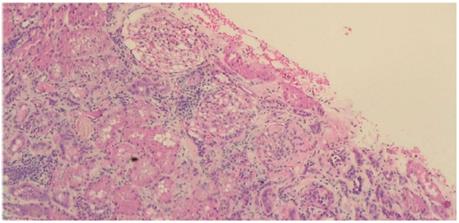
Note: Panoramic image with light microscopy showing lymphocytic infiltrations and interstitial edema.
Source: the authors.
Figure 4 Case 2 - Light Microscopy (panoramic image)
Light microscopy revealed focal glomerular sclerosis, mesangial proliferation, no abnormalities in basement membranes, and collapsing glomerulopathy was not found. Direct immunofluorescence showed no immunoglobulin or complement deposits. Tubules and interstice were preserved. Electron microscopy revealed podocytopathy with pedicels loss in 70 % of the evaluated capillary surface and focal sclerosis of capillary loops (Figure 6). Three weeks later, and without any further treatment, the patient showed significant glomerular filtration recovery (70 ml/min), proteinuria reduction (0.4 g/dia) and edema resolution.

Note: Light microscopy showing mesangial hypercellularity in a glomeruli.
Source: the authors.
Figure 5 Case 2 - Light Microscopy (glomerulus)

Note: Electron microscopy showing effacement of podocytes sitting over a basal glomerular membrane.
Source: the authors.
Figure 6 Case 2 - Electron microscopy (glomerulus image)
Conclusion: The patient presented a nephrotic syndrome secondary to diffuse podocytopathy and segmental glomerular sclerosis associated to SARS-CoV-2 infection.
Discussion
There are a series of controversies regarding various aspects of COVID-19. However, there is consensus on the appearance of renal involvement being a marker for morbidity and mortality in this disease [4, 6]. Compromised renal function may present as a spectrum of lesions, including acute tubular necrosis, endothelial damage and capillary occlusion, deposit of pigments (myoglobin) in the tubules, and glomerular lesions resulting from different mechanisms, such as hemodynamic factors, immunological factors (cytokine storm), additional infectious factors (bacteria, fungi, or other viruses), nephrotoxic drugs, and direct infection by SARS-CoV-2 [2,6]. Regarding the latter, it has been reported that the human kidney can be a target organ for SARS-CoV-2 infection, as antigens of this virus have been found in renal tubules in post-mortem studies. This would explain the occurrence of renal failure due to COVID-19 and could support the hypothesis that systemic spread of this virus could occur from a renal reservoir with a higher viral load in situ. Additionally, the SARS-CoV-2 greater renal tropism could be explained by its affinity to the ACE2 receptor and their abundance in podocytes and proximal tubular cells [6-9]. Some authors have proposed that the virus could enter the renal tubular cells via the uric acid transporter URAT1 [10,11]. However, other authors maintain that the supposed viral particles observed by electron microscopy, actually correspond to cellular structures resembling them, such as multivesicular bodies [12]. Likewise, it has been discussed whether the ACE2 receptor would facilitate the virus's access to the tubular cells, given the receptor's location on the cells facing the urinary pole. In this manner, it is consequently implied that the virus needs to enter the cell from the urine, after having managed to cross the filtration barrier [10].
The most common evidence of kidney dysfunction in patients with COVID-19 is mild to moderate proteinuria. It should be noted that, typically, only a small fraction of plasma proteins is filtered at the glomerular level, and most of the proteins in this filter group are then efficiently reabsorbed at the proximal tubular level. Consequently, almost no proteins appear in normal urine. The glomerular filtration barrier relies on the proper functioning of three components: endothelial cells, glomerular basement membrane, and podocytes. Podocytes are known to be particularly sensitive to homeostasis of the renin angiotensin aldosterone system. If a pathological process increases glomerular angiotensin II (AII) levels, podocytes acquire a dysfunctional phenotype, mediated by a cellular response to AII, due to the shear stress caused by hyperfiltration. This phenotype involves restructuring of the cytoskeleton, which is ultimately evidenced by proteinuria [13]. Another potential proteinuria inducing mechanism could be glomerular hyperfiltration, since it can be triggered as compensatory mechanisms by glomerular damage [5].
One more mechanism that could explain the proteinuria observed in patients with COVID-19 is the febrile syndrome frequently accompanying this disease [5-7]. Finally, it has been speculated that the observed podocytopathy could be induced by SARS-CoV-2, particularly in cases of nephrotic syndrome, suggestive of podocytes viral invasion [7,8,14,15]. Podocytopathy has been documented in COVID-19 cases even without pneumopathy [6, 8], with histological evidence in the literature which ranges from minimal changes, mesangial expansion, and focal sclerosis, as reported in our cases, to collapsing glomerulopathy [9].
It is probable that the podocyte effacement seen during COVID-19 infection relies on immune-mediated mechanisms, like it happens in primary minimal change disease. In the latter, the induced cytokine imbalance in T cell populations with a prevalence of T helper type 2 cells, generates more positive influx of proinflammatory cytokines such as interleukin (IL) 4, IL-5, IL-9, IL-10, and IL-13 [9,14]. The mentioned immune mediated mechanisms imbalance might also participate in renal damage during COVID-19 infection. This being considered, cytokine storm is an important mechanism of tissue damage caused by COVID-19, which can occur in this disease. It has been reported that patients with COVID-19 have elevated levels of cytokines secreted by T helper lymphocytes, such as IL-4 and IL-10, which enhance the pulmonary involvement of COVID-19, as well as IL-2R and IL-6, which are positively correlated with disease severity. Cytokine storm can generate an immune environment with excessive production of podocytopathy-inducing cytokines [9]. Another kidney injury that has been associated to COVID-19 is the lesion of proximal tubule (tubulitis) cells, sometimes accompanied by hypouricemia, attributed to an increase in uric acid excretion due to tubular dysfunction [6-8,16].















