Introducción
Dentro de las indicaciones de la endoscopia digestiva alta (EVDA) está la detección del cáncer gástrico temprano 1, pero esta herramienta diagnóstica puede verse limitada por el contenido de moco adherente y la formación de burbujas que impiden una visualización adecuada de la mucosa gástrica 2. Como estrategia a esta desventaja, una de las medidas es la utilización de sustancias antiespumantes y mucolíticas. La primera es la pronasa, el producto del cultivo del Streptomyces griseus, que sirve de base para una preparación de enzimas digestivas y antiinflamatorias 3. Kim 4 recientemente publicó una revisión sobre la efectividad de la pronasa para mejorar la visualización de la mucosa gástrica, pero estos beneficios no podrían extenderse a nuestro medio porque no está disponible en el hemisferio occidental. La segunda es la simeticona (SIM), constituida por una mezcla de dimetilpolisiloxano y gel de sílice; es fisiológicamente inactiva, no tóxica y tampoco se absorbe en el tracto gastrointestinal. Su principal acción es reducir la fuerza de adhesión de las burbujas de aire, tiene las ventajas de que no interactúa con otros medicamentos y no se han reportado complicaciones por su utilización 5. Por último, está la N-acetilcisteína (NAC), un mucolítico con propiedades antioxidantes y antiinflamatorias. Contiene un grupo tiol o sulfhidrilo libre que rompe el enlace disulfuro en el monómero de mucina, lo que reduce de este modo la viscosidad del moco adherido a superficies mucosas 6. Las propiedades de estos medicamentos han sido cuantificadas en diferentes escalas de visualización de la mucosa gástrica con buenos resultados 4,7,8.
Varias guías sobre la detección de cáncer gástrico temprano sugieren premedicar los pacientes que se someten a una EVDA con la finalidad de limpiar la superficie gástrica, como una recomendación fuerte a favor 9,10. En Bogotá, Emura 11 en 2 campañas masivas para tamizar lesiones preneoplásicas y cáncer gástrico temprano utilizó pronasa y dimetilpolisiloxano para remover el moco adherido al epitelio y disolver las burbujas de saliva, lo que mejoró sustancialmente la visualización de la mucosa gástrica. El mismo autor, en otro estudio 12 para el tratamiento endoscópico del cáncer gástrico temprano, mencionó la preparación NAC más SIM previa a la disección submucosa de 53 pacientes. En el país la pronasa no está disponible y no se han reportado estudios cuantificando el efecto de los mucolíticos y antiespumantes en la limpieza de la mucosa gástrica; por esta razón, nuestro objetivo es mostrar los resultados de la aplicación de una escala de visualización de la mucosa gástrica durante la esofagogastroduodenoscopia en pacientes premedicados con una solución de SIM más NAC diluidas en agua tibia, conociendo los puntajes de visualización de la mucosa gástrica y el volumen de lavado con agua para aclarar la superficie gástrica de burbujas y espumas.
Materiales y métodos
Se diseñó un estudio descriptivo retrospectivo, se recolectó la información de 120 pacientes consecutivos que tenían indicada una EVDA, a los que se les premedicó con una solución de NAC al 4%, 400 mg (10 cc) (Fluimucil®, Laboratorio Zambon, Bogotá, Colombia) más SIM (dimetilpolisiloxano), 133,3 mg (2 cc) (Siligas®, laboratorio Incobra S.A., Barranquilla, Colombia) y agua tibia 100 cc 20 minutos antes del procedimiento. Los procedimientos endoscópicos se realizaron en una unidad de endoscopia de acceso abierto adscrita al hospital local, donde la premedicación hacía parte de la atención a sus pacientes un año antes del estudio. El estudio se realizó entre octubre y diciembre de 2016. Los criterios de inclusión fueron: mayores de 15 años de edad que requirieron una EVDA de forma ambulatoria; los criterios de exclusión fueron: pacientes con antecedentes de cirugías gastrointestinales debido a que en estos pacientes no se podía aplicar la escala de visualización de limpieza, mujeres embarazadas por la precaución de prescribir NAC en este grupo, hemorragia de vías digestivas altas por la ocupación con sangre de la cavidad gástrica, pacientes que no estaban en ayunas, con trastornos conocidos del vaciamiento gástrico y alergias a NAC o SIM.
El estudio obtuvo la aprobación del comité de ética del hospital local, todos los individuos aceptaron el consentimiento informado. Los pacientes que cumplieron los criterios anteriores se incluyeron en el protocolo de estudio. Los procedimientos endoscópicos los realizó un solo endoscopista de amplia experiencia, con endoscopios Pentax i-SCAN, removiendo el exceso de secreciones con aspiración o lavados con agua por el canal de trabajo, en los segmentos examinados, que para efectos del estudio fueron los siguientes: fórnix, cuerpo superior, cuerpo inferior y antro.
Se cuantificó la visualización de la mucosa de cada segmento examinado, de acuerdo con la escala modificada de Kuo 13 por Chang 8 (Figuras 1, 2, 3 y 4), reiterando que cada segmento observado se cuantificó de 1 a 4 y la suma de los puntajes de las 4 localizaciones se definió como el puntaje total de visualización de la mucosa gástrica (PTVM). El mejor puntaje es 4, considerado como excelente, y el peor 16; además, se cuantificó el volumen de agua requerido para lavar la cavidad gástrica en cantidad <50 cc de agua o >50 cc.

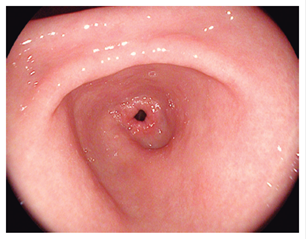
Figura 1 Escala de Kuo modificada por Chang. 1 punto. Moco no adherido y clara visualización la mucosa gástrica 8,13.

Figura 2 Escala de Kuo modificada por Chang. 2 puntos. Una fina capa de moco que no obstaculiza la visión gástrica 8,13.

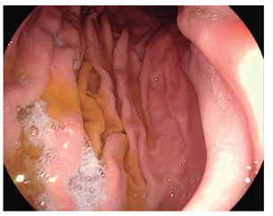
Figura 3 Escala de Kuo modificada por Chang. 3 puntos. Una cantidad grande de moco sobre la mucosa gástrica que requiere <50 cc de agua para su aclaramiento 8,13.

Figura 4 Escala de Kuo modificada por Chang. 4 puntos. Una cantidad grande de moco sobre la mucosa gástrica que requiere >50 cc de agua para su aclaramiento 8,13.
Los datos se tabularon en Excel y, posteriormente, sus frecuencias y porcentajes se analizaron con el paquete estadístico Epi Info CDC (versión 7,2 para Windows, Estados Unidos). En todos los resultados se consideró significancia estadística una p <0,05.
Resultados
Entre octubre y diciembre de 2016, se incluyeron 120 pacientes (Tabla 1), 75 (62,50%) mujeres y 45 (37,50%) hombres, sin presentar diferencias estadísticas significativas, con respecto al PTVM (p = 0,66). El promedio de edad fue 52,5 +/- 16,95 (rango 15 a 89). En los rangos de edades, tampoco hubo diferencias significativas con el PTVM (p = 0,27) (Tabla 1). El puntaje total de visibilidad de la mucosa gástrica considerada como excelente con un puntaje de 4 fue de 57 (47,50%), con 5 puntos fueron 36 (30%), con 6 y 7 puntos 10 (8,33%), con 8 puntos 6 (5%) y, por último, con 9 puntos 1 (0,83%); no hubo casos en las puntuaciones de 10 a 16 (Figura 5). 100 (83,3%) pacientes que fueron premedicados no necesitaron lavados adicionales con agua para visualizar la mucosa gástrica, contra 13 (10,83%) que requirieron menos de 50 cc y 7 (5,83%) que necesitaron más de 50 cc (p = 0,00) (Tabla 1, Figura 6). No se observaron complicaciones manifiestas durante el estudio como broncoaspiración o reacciones alérgicas.
Tabla 1 Frecuencias de las puntuaciones totales de la limpieza de la mucosa gástrica de acuerdo con edad, sexo y lavados con agua
Discusión
El presente trabajo es el primero en el país en aplicar una escala de visualización de la mucosa gástrica en pacientes premedicados con NAC-SIM, mostrando que el puntaje total de visibilidad de la mucosa gástrica considerada como óptima y no utilizar agua para aclarar la cavidad gástrica fue el hallazgo más frecuente; es de enfatizar que cuanto menores puntajes de visualización de la mucosa gástrica y menores volúmenes de lavado hay, es mejor el efecto de la premedicación. Las primeras escalas para medir la visualización de la mucosa gástrica las propuso Mc Nally en 1998 14, quien estableció 3 puntajes de acuerdo con la cantidad de residual gástrico (burbujas y espuma) y su dificultad en la evaluación de la mucosa, con la particularidad de que primero se estudió en la colonoscopia. Posteriormente, Kuo 13 en 2002 estableció una clasificación parecida, pero precisando que el volumen de agua que se necesita para aclarar la mucosa es <30 cc o >30 cc. 5 años después, Chang 8 aumentó la cantidad de líquido requerido en cada lavado, como parte de la clasificación, en >50 cc o <50 cc, logrando actualmente gran aceptación. Esta escala recientemente se validó en Chile por Mansilla 15, quien concluyó que es de fácil aplicación y que debería considerarse como criterio de calidad al practicar la EVDA.
Por su relevancia en un país con alta tasa de cáncer gástrico como el nuestro y su uso avalado, se consideró pertinente la aplicación de esta escala en nuestro estudio para la evaluación de la premedicación NAC-SIM previa a la EVDA. Los países orientales han aportado las primeras referencias con el uso de premedicaciones para mejorar la visualización de la mucosa gástrica. Un estudio aleatorizado y prospectivo realizado en Taiwán-China halló que la pronasa más SIM presentó significativamente mejor visualización al compararla con SIM o pronasa como único medicamento (<0,005), y se concluyó que debe adicionarse otro fármaco a la pronasa para mejorar su rendimiento 13. Kim GH 16 en Corea también comparó la combinación pronasa más SIM frente a SIM sola y obtuvo hallazgos similares (73% frente a 49%, p <0,05). Lee 17 adicionó bicarbonato y agua tibia a la combinación SIM-pronasa, cuyo resultado fue superior a la combinación SIM más bicarbonato (p = 0,002). Chang 8 introdujo el uso de la NAC en la premedicación endoscópica a través de la comparación de SIM más NAC más agua contra SIM más pronasa y agua; en sus resultados no hubo diferencias en los puntajes de visibilidad de la mucosa gástrica (p = 0,14).
Los autores recomiendan que en el caso que no haya disponibilidad de pronasa (como en Colombia) puede utilizarse la NAC siempre que se adicione SIM; sin embargo, varias publicaciones han manifestado que la SIM como premedicación única 18 o al compararla con placebo 19 puede ser una intervención efectiva. 2 estudios 20,21 aleatorizados doble ciego compararon la SIM como premedicación única contra la combinación de NAC más SIM y se demostró que las 2 estrategias son igualmente efectivas; además, se resalta que la SIM por sí sola mejora la visualización de la mucosa durante la endoscopia y que su uso se puede implementar fácilmente en todos los centros de endoscopia a nivel mundial porque solamente se requiere de un solo fármaco disponible universalmente y de bajo costo. Neale 22, en el Reino Unido, dirige el primer estudio aleatorizado y controlado con la combinación SIM más NAC en una población occidental, determinó que esta mejora notablemente la visualización de la mucosa gástrica, y reportó que un 61% (p <0,01) de pacientes no requirió de lavados adicionales para aclarar la mucosa; consecuentemente, redujo el tiempo del procedimiento a 8,5 min, rango 5,0-12 min comparado con el grupo control (10,5 min, rango 7,5-13,5 min), además de que la intervención es segura y con un bajo costo. Con la misma combinación (SIM más NAC), otro estudio 23, pero con un gran número de individuos, cuyo propósito fue comprobar los efectos de la premedicación en cuanto a la dosis, volumen y el tiempo previo al procedimiento, estableció en una muestra de 1849 individuos que las dosis más efectivas de SIM fueron de 100 mg y las de NAC 200 mg, respectivamente, diluidas en 100 cc de agua; estas disminuyeron la probabilidad de lavados adicionales para aclarar la mucosa gástrica (p <0,006); además, la administración de la premedicación dentro de los 30 minutos antes de la endoscopia fue efectiva para mejorar la visualización de la mucosa gástrica (p <0,005). Estos resultados han sido legitimados recientemente por el estudio NICEVIS 24, con la combinación NAC más SIM siendo, además, el primero en probar una visualización adecuada en el esófago con un potencial beneficio en la vigilancia del esófago de Barrett, lo que podría convertirse en parte de la preparación de rutina preendoscópica, mejorando la detección de lesiones neoplásicas del tracto digestivo superior.
El actual estudio utilizó las recomendaciones sobre lo publicado en la literatura médica con la premedicación NAC más SIM y su efecto sobre la visualización de la mucosa gástrica. Esta investigación también comprobó que los fármacos utilizados son seguros al no presentar efectos adversos. Este análisis tuvo amplias limitaciones: lo realizó un solo observador, lo que pudo generar un sesgo de información y detección; pero su principal aporte y alcance fue presentar la experiencia en cuantificar la visibilidad de la mucosa gástrica con una premedicación de fácil disponibilidad y que puede indicarse de rutina en todas las unidades de endoscopia del país.
Conclusiones
Con la premedicación de NAC al 4%, 400 mg (10 cc) más SIM 133,3 mg (2 cc) diluidas en 100 cc de agua tibia, 20 minutos antes de la EVDA, se observó con mayor frecuencia puntajes óptimos en la visualización de la mucosa gástrica, además de menor necesidad de lavados con agua para limpiar la cavidad gástrica de moco y burbujas. Esta intervención es posible en nuestro medio, ya que es de fácil accesibilidad; también se consideró segura, al no ocurrir complicaciones por su administración.










text in 




