Introducción
En contraste a lo encontrado en los adultos los tumores del esófago son extremadamente raros en los niños y los adolescentes. Los adenocarcinomas y los carcinomas escamocelulares del esófago tienen su mayor incidencia entre los 35 y 64 años de edad; no han sido reportados en lactantes ni preescolares y pueden presentarse en escolares y adolescentes.
Las tasas de incidencia varían de acuerdo las diferentes regiones del mundo; mientras en países occidentales se reportan entre 4 y 10 casos nuevos por 100.000 habitantes por año en zonas como el norte de China, el noreste de Irán y África del Sur tienen tasas muy altas que van entre 50 a 100 casos por 100.000 habitantes por año. En los registros del SEER (Surveillance, Epidemiology and End Results Program) entre 1992 y 2007 se informa una tasa de incidencia < 0,02 casos/millón de niños menores de15 años y entre 2009 y 2013 no hay casos reportados en niños ni adolescentes1-6.
Tanto la etiología como la patogénesis de la condición son desconocidas aunque estudios epidemiológicos han sugerido que los carcinomas de esófago están asociados predominantemente con exposición a factores medioambientales y que requieren de un periodo prolongado de carcinogénesis4,7. La enfermedad se ha asociado a: consumo de bebidas calientes; esofagitis crónica; estenosis por ingesta accidental de líquidos alcalinos; historia familiar de cáncer de esófago, y con algunas condiciones predisponentes, como acalasia, esófago de Barrett, tilosis y el síndrome de Plummer Vinson7.
Debido a la baja frecuencia de presentación de los carcinomas de esófago en niños y adolescentes la experiencia de los oncólogos y los cirujanos pediatras es limitada por lo que debemos apoyarnos en la experiencia de los oncólogos de adultos. Los autores ven la oportunidad de mostrar la presentación clínica y el abordaje del primer caso reportado en Colombia de un adolecente de 14 años de edad con diagnóstico confirmado por histopatología de carcinoma adenoescamoso de esófago con el propósito de incrementar la conciencia de los profesionales que atienden niños y adolescentes sobre una enfermedad rara.
Reporte del caso
Se trata de un paciente masculino de 14 años de edad con antecedente de hipotiroidismo congénito y retraso del desarrollo psicomotor y que ingresó en febrero de 2015 al Instituto Nacional de Cancerología de Colombia con historia de cuatro meses de evolución consistente en disfagia progresiva, inicialmente para deglutir alimentos sólidos y posteriormente para pasar líquidos, asociado a episodios de vómitos y pérdida de peso de aproximadamente 15 kg. No había historia de ingesta de líquidos cáusticos o sustancias químicas corrosivas.
Atendido inicialmente en otra institución donde le practicaron endoscopia de vías digestivas altas que mostró una tumoración a nivel del tercio medio del esófago de donde se realizó biopsia endoscópica que fue reportada como adenocarcinoma de tipo intestinal infiltrante moderadamente diferenciado. Es remitido al Instituto Nacional de Cancerología de Colombia donde se encontró al momento de su ingreso un paciente pálido con desnutrición moderada, retardo psicomotor y abdomen doloroso a la palpación del epigastrio sin signos de irritación peritoneal; se palpaba hepatomegalia y no se encontraron ganglios linfáticos palpables ni ascitis.
La tomografía axial computarizada (TAC) de abdomen y pelvis evidenciaba aumento del tamaño del hígado con un lóbulo hepático derecho de 15,5 cm sin presencia de lesiones focales.
La endoscopia de vías digestivas altas mostró el esófago dilatado con una mucosa normal hasta los 28 cm de longitud donde se comienza a observar la mucosa con aspecto del tipo de esófago de Barrett y a los 30 cm se identifica lesión tumoral circunferencial y estenosante. Se practican dilataciones hasta la bujía de 14 mm y se identifica que la lesión se extiende hasta los 35 cm borrando parcialmente la línea z. Había un saco herniario de 2 cm. El estómago sin extensión subcardial de la lesión, el cuerpo distal y antro presentaban aspecto normal. El duodeno endoscópicamente estaba normal. El diagnóstico endoscópico fue de un carcinoma de esófago en tercio distal sobre esófago de Barret's, con hernia hiatal y dilataciones esofágicas.
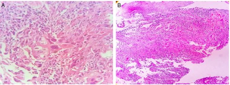
La TAC de cuello y tórax con lesión ulcerada de aspecto neoplásico en la pared derecha del tercio medio del esófago con estriación de la grasa del mediastino posterior adyacente, no se identifican adenopatías mediastinales (fig. 1A). La revisión de la patología confirmó el diagnóstico de carcinoma adenoescamoso invasor del esófago. La inmunohistoquímica de la muestra informó de componente tumoral glandular positivo para: Queratina 7, Queratina 20, CDX2 y CEA. Negativo para sobre expresión de HER 2 (0 + ) y componente tumoral escamoso positivo para P63 y Queratina 5/6 (fig. 2).

Figura 1 ATAC del tórax al diagnóstico. La flecha indica la lesión ulcerada con realce del medio de contraste en la pared derecha del tercio medio del esófago cercana a la bifurcación de la carina con estriación leve de la grasa del mediastino posterior adyacente. B. TAC del tórax posterior a neoadyuvancia y control local. Se observan cambios postquirúrgicos de esofagectomía; la flecha muestra el ascenso gástrico.

Figura 2 Imagen de Carcinoma adenoescamoso invasor del esófago donde se observan: A. áreas de adenocarcinoma y B. áreas de carcinoma escamoso.
El paciente fue clasificado por el sistema TNM (American Joint Committee on Cancer tumor -node -metastasis) como un estadio IIA (T2-3, N0, M0) y discutido en junta multidisciplinaria con oncólogos pediatras, oncólogos de adultos cirugía gastrointestinal y radioterapia; se decidió un plan terapéutico consistente en la administración de quimioterapia neoadyuvante protocolo CROSS8, radioterapia concomitante y posteriormente esofagectomía (tabla 1).
Completada la quimioterapia y la radioterapia concomitante se le realizó esofagectomía total y ascenso gástrico (fig. 1B). La patología de la pieza quirúrgica informó de un tumor de 3,3 x 3 cm y la presencia de carcinoma adenoescamoso de esófago con cambios por neoadyuvancia con invasión tumoral hasta la adventicia y la invasión neural positiva. Se evidenció: respuesta pobre al tratamiento, bordes de sección proximal y distal libres de tumor; esófago de Barrett sin displasia, y un ganglio de cuatro analizados positivo para metástasis con cambios por tratamiento.
Dado los hallazgos patológicos descritos, se decide llevar a junta del servicio de oncología pediátrica donde se considera que el paciente se beneficia de quimioterapia adyuvante consistente en 4 ciclos con intervalos de 21 días con cisplatino y 5-fluouracilo.
Ocho meses después del control local se presenta exacerbación de los vómitos asociado a sintomatología respiratoria. La TAC del tórax mostraba: cambios quirúrgicos de esofaguectomía y ascenso gástrico derecho; nódulos de las superficies pleurales en ambos hemitórax, con derrame pleural moderado bilateral; múltiples imágenes nodulares adyacentes al pedículo vascular en la curvatura mayor de la cámara gástrica, algunas con hipodensidad central que puede corresponder a adenopatías necróticas sugestivas de persistencia neoplásica y diseminación pleural.
Se realizó PET/SCAN que evidenció ganglio con incremento del metabolismo de localización precarinal y otro prevascular de 4 x 6 mm de diámetro. En la curvatura menor se observan: lesiones nodulares hipermetabólicas y nódulos alrededor de la curvatura mayor hipermetabólicas y lesiones nodulares hipermetabólicas pleurales derechas así como en la pleura diafragmática izquierda. En los campos pulmonares se apreciaba atelectasia compresiva del lóbulo inferior derecho y derrame pleural bilateral. En abdomen y pelvis se observaron nódulos hipermetabólicos adyacentes al colon descendente y en el mesogastrio posterior a la pared abdominal izquierda. Se evidenciaron lesiones nodulares hipermetabólicas en el hipogastrio por detrás de la pared abdominal en la línea media y ascitis generalizada (fig. 3).

Figura 3 A. Derrame pleural bilateral. B. Adenomegalias necróticas en curvatura mayor del estómago sugestivas de persistencia neoplásica y diseminación pleural. C. PET/SCAN: Ganglio precarinal y prevascular con incremento del metabolismo. En el margen quirúrgico de la curvatura menor y alrededor de la curvatura mayor del estómago se observan lesiones nodulares hipermetabólicas D. Lesiones nodulares hipermetabólicas pleurales derechas así como en la pleura diafragmática izquierda.
Se realizó laparoscopia con hallazgos intraoperatorios de hepatomegalia sin lesiones focales, múltiples adenopatías de aspecto neoplásico, lesiones blanquecinas nacaradas con dimensiones de entre 5 mm y 5 cm en pelvis y fosa ilíaca izquierda y un conglomerado mayor a 5 cm en flanco izquierdo. Se realiza biopsia de peritoneo parietal pélvico y ganglios descritos que reporta ganglios linfáticos con extensas metástasis de carcinoma adenoescamoso de alto grado con predominio del componente escamoso y compromiso tumoral de grasa periganglionar y de peritoneo parietal.
En junta del servicio se decide reorientar manejo al mejor cuidado de soporte con intención paliativa y el paciente fallece con enfermedad progresiva a los 13 meses del diagnóstico.
Discusión
El cáncer del esófago es una enfermedad excepcionalmente rara en los niños. La literatura existente está limitada a reportes aislados y pequeñas series de casos. Las variantes histológicas incluyen: leiomiosarcoma, neoplasias mesénquimas indiferenciadas, melanomas y en más del 90% de los casos carcinomas en cualquiera de sus variantes, adenocarcinomas, carcinomas escamosos, carcinomas de células pequeñas o carcinomas adenoescamosos9-15. Theilen et al. informó en la última revisión de la literatura publicada en febrero de 2016 que hay identificados 19 casos de adenocarcinomas de esófago y 21 casos de carcinoma escamocelular en menores de 21 años de edad16. El paciente que reportamos presentó un carcinoma adenoescamoso que constituye una combinación de las dos variantes histológicas más frecuentes.
Las causas para el inicio de un carcinoma de esófago en niños y adolescentes no están plenamente establecidas. En general se asumen los mismos factores patogénicos para la carcinogénesis de los carcinomas de esófago en el adulto16. Sin embargo, existe la hipótesis de que los tumores epiteliales del esófago se originan como resultado de irritación e inflamación crónica por una variedad de factores ambientales carcinógenos y por un reflujo gastroesofágico crónico con un periodo de latencia prolongado9,17,18. Se han descrito algunas condiciones premalignas asociadas a la enfermedad, las cuales incluyen: tilosis, acalasia, divertículos esofágicos, y síndrome de Plummer Vinson. En adultos, el tabaquismo y el alcohol son los principales factores de riesgo de carcinoma epitelial de células escamosas de esófago; mientras que el esófago de Barrett con metaplasia intestinal, la obesidad y la enfermedad por reflujo gastroesofágico son los factores de riesgo para adenocarcinoma. En niños y adolescentes se considera que la exposición a factores de riesgo ambientales y las deficiencias nutricionales podrían ser responsables de la inflamación y el debilitamiento del epitelio esofágico, lo que resulta en una condición posiblemente más favorable para el desarrollo de cáncer4,18,19.
El caso reportado presenta un hipotiroidismo congénito que determinó el retardo psicomotor, una condición neurológica, que predispone a padecer reflujo gastroesofágico crónico y que condujo al paciente a desarrollar esófago de Barrett demostrado por endoscopia y por histopatología.
Como se ha informado en la literatura esta condición se caracteriza microscópicamente por la sustitución del epitelio estratificado escamoso normal por un epitelio columnar. Se presenta en el 5 al 8% de pacientes con reflujo gastroesofágico y confiere un alto riesgo de padecer adenocarcinoma de esófago, con una tasa anual de transformación neoplásica de aproximadamente 0,5%20. En la revisión de Theilen et al. se encontró que el 31,6% de los pacientes con adenocarcinoma de esófago tenían esófago de Barrett y ningún paciente en el grupo con carcinoma escamocelular16. En el mismo sentido, Issaivanan et al. informa en su publicación que 7 de 9 pacientes (78%) con adenocarcinoma de esófago padecían de esófago de Barret's9.
La disfagia progresiva y la pérdida de peso presentada por el paciente son las características clínicas más frecuentemente reportadas en las series de niños y adolescentes con carcinoma de esófago. De los 42 casos informados en menores de 21 años de edad por Theilen et al. presentaron: el 83,3% disfagia; el 54,8% pérdida de peso; el 12% reflujo gastroesofágico, y el 12% vómito16. Otros síntomas de presentación eran: dolor epigástrico o retroesternal, anemia, hematemesis, hematoquecia y signos de impactación de alimentos5,9,18,21,24).
El pronóstico de los carcinomas de esófago es malo y depende de la extensión de la enfermedad y la posibilidad de una resección quirúrgica completa. En general más de la mitad de los pacientes tienen una enfermedad no resecable o metastásica al momento del diagnóstico. Enzinger y Mayer informan de una supervivencia a 5 años de 95% para estadios cero, 50 a 80% para estadios i, 30 a 40% para estadios IIA,10 a 30% para estadios IIB y 10 a 15% para estadios m de la enfermedad18. El programa de vigilancia, epidemiología y resultados finales del Instituto Nacional de Cáncer de los Estados Unidos de América (SEER por sus siglas en inglés) muestra un incremento en la supervivencia desde un 5% entre los años 1975-1977 hasta un 20,5% entre 2006 y 201225. La mediana de supervivencia para niños y adolescentes con carcinoma de esófago en series pediátricas varía entre 6 y 14 meses aproximadamente, lo cual es ligeramente menor comparado con 13 a 19 meses de los adultos9,16,23) . El paciente reportado tuvo un tiempo de supervivencia de 13 meses desde el diagnóstico que está acorde con la supervivencia de los pacientes con enfermedad avanzada que reciben solo tratamiento paliativo calculado en promedio en 13 meses18.
Debido a que el carcinoma de esófago en niños y adolescentes es una enfermedad rara, definida arbitrariamente por el proyecto TREP (Italian Study on Rare Tumor in Pediatric Age) como cualquier malignidad sólida caracterizada por una incidencia anual menor a 2 casos/millón de niños y que no esté incluido en un estudio clínico específico26,27, no existen guías o protocolos de diagnóstico y tratamiento definidos por los oncólogos pediatras; por lo tanto, la recomendación universal es que las decisiones tanto para el diagnóstico como para el tratamiento sean tomadas por un equipo interdisciplinario con oncólogos de adultos, quienes tienen los conocimientos y la experticia para tratar pacientes con carcinoma de esófago9.
Por la razón anteriormente expuesta los autores consideran que la falta de sospecha de una enfermedad maligna ante la presencia de síntomas o signos comunes a enfermedades menos graves y más frecuentes en niños y adolescentes es una razón conocida para que la enfermedad se diagnostique más tardíamente. Con la presentación de este caso los autores esperamos contribuir al conocimiento general de una enfermedad rara en niños y adolescentes y dejamos para la reflexión dos recomendaciones insinuadas por Issaivanan et al. en su publicación sobre carcinoma de esófago en niños9:
Ante la presencia de una historia corta de tos persistente, disfagia, odinofagia o dolor retroesternal con o sin pérdida de peso se debe descartar una masa mediastinal mediante radiografías y tomografía axial computarizada del tórax.
Teniendo en cuenta que el esófago de Barrett es un factor de alto riesgo para el desarrollo de carcinoma de esófago en niños y adultos, los pacientes con riesgo de tener enfermedad por reflujo gastroesofágico (prematurez, retardo mental, parálisis cerebral, hernia hiatal, etc.) deberán tener un seguimiento clínico por pediatría y gastroenterología para un adecuado tratamiento del reflujo y para detectar tempranamente la posibilidad de esta enfermedad.
Responsabilidades éticas
Protección de personas y animales. Los autores declaran que para esta investigación no se han realizado experimentos en seres humanos ni en animales.
Confidencialidad de los datos. Los autores declaran que han seguido los protocolos de su centro de trabajo sobre la publicación de datos de pacientes.
Derecho a la privacidad y consentimiento informado. Los autores declaran que en este artículo no aparecen datos de pacientes.














