Introducción
Los sarcomas uterinos corresponden al 7-8 % de todas las neoplasias uterinas 1. La edad promedio de presentación es entre la cuarta y quinta década de la vida. Su diagnóstico suele ser tardío porque sus manifestaciones clínicas son inespecíficas y silentes. Histológicamente los sarcomas se dividen en carcinosarcomas (50 %), leiomiosarcomas (30 %), sarcomas del estroma endometrial (15 %) y sarcomas indiferenciados (5 %) 2.
Caso clínico
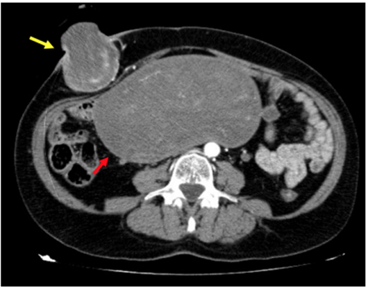
Paciente mujer de 59 años, sin antecedentes médico-quirúrgicos de interés, que consulta al servicio de Urgencias por lesión cutánea ulcerada, de crecimiento progresivo, en fosa ilíaca derecha. Se realizó ecografía abdominal y posteriormente tomografía computarizada (TC) abdominopélvica donde se identificó una masa uterina sugestiva de mioma gigante (180x86x177 mm), muy probablemente malignizado a sarcoma, y una masa subcutánea, sugestiva de metástasis parietal, sin signos de sangrado activo, y sin otros signos de diseminación a distancia (Figura 1). Ante estos hallazgos se decidió llevar a intervención quirúrgica urgente, realizándose resección en bloque de la lesión subcutánea de fosa ilíaca derecha (Figura 2). El estudio anatomopatológico diagnosticó una metástasis de sarcoma del estroma endometrial de alto grado. Se remitió al Comité de Tumores Ginecológicos para completar tratamiento con histerectomía + doble anexectomía + citología de líquido peritoneal en forma programada, por el Servicio de Ginecología y Obstetricia. La paciente recibió tratamiento adyuvante (quimioterapia y radioterapia) con respuesta completa y supervivencia libre de enfermedad en el seguimiento hasta la fecha.

Figura 1. Tomografía computarizada abdominal que muestra tumoración uterina (flecha roja) y metástasis parietal (flecha amarilla).

Figura 2. Exéresis en bloque de lesión localizada en tejido celular subcutáneo que correspondió a metástasis parietal de sarcoma uterino.
Discusión
El diagnóstico de sarcoma uterino a menudo ocurre incidentalmente durante el examen patológico de la pieza quirúrgica después de la histerectomía por sospecha de leiomioma. Las manifestaciones clínicas incluyen sangrado vaginal, dolor abdominal o pélvico y una masa palpable. A veces permanece asintomática durante mucho tiempo y las manifestaciones clínicas comienzan como una diseminación metastásica. Algunas de sus localizaciones más frecuentes son pulmón, hueso y pared abdominal. Las metástasis cutáneas son una forma de presentación inusual, generalmente asociadas a estadios avanzados y de mal pronóstico (sobrevida menor de un año) 3. El tratamiento habitual incluye la combinación de radioterapia y quimioterapia.














